April 19, 2010 – The Fibroid Treatment Collective (FTC) has launched an annual observance called Fibroid Awareness Week scheduled this year for April 19-23, which is dedicated to education about fibroids that affect upwards of 50 percent of all women.
Cancer doesn’t discriminate by gender, age or where a person resides. But in many cases, the quality of care a patient receives can depend on where they live. For patients who live in rural areas or far from major cities with premier cancer treatment centers and research universities, the barriers to getting access to cutting-edge care can be almost insurmountable.
April 14, 2010 - New algorithms for breast ultrasound (US) are making waves in the breast imaging community, which has led to a new arena of whole breast ultrasound technology.
Radiology departments have many different needs and face a wide variety of challenges that can impact their departments ...
April 14, 2010 – The Mount Sinai Medical Center in New York has become the first facility in the United States to commercially use a new cardiac nuclear imaging system that drastically reduces imaging time and radiation exposure.
April 14, 2010 - As doctors become more mobile, requiring access to clinical data at remote workstations or at the point-of-care, the American College of Radiology (ACR) has launched the ACR Appropriateness Criteria Anytime, Anywhere application (app).
April 14, 2010 - When college football’s elite enter Radio City Music Hall April 22 for the 2010 National Football League (NFL) draft, it will be after much public analysis of their stats and accomplishments. Also important to a player’s prospect of being drafted is the outcome of diagnostic tests including X-rays, magnetic resonance imaging (MRI) and cardiac evaluations.
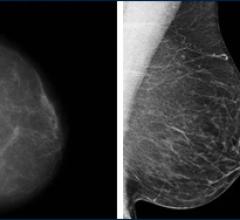
Despite decades of progress in breast imaging, one challenge continues to test even the most skilled radiologists ...
April 14, 2010 - A diagnostic imaging center expands its services to offer image-guided radiation therapy (IGRT) and integrates TomoTherapy technology into its workflow. With the only linear accelerator installed in the Valle d’Aosta region, Ospedale Regionale Umberto Parini installed the Hi·Art treatment system, which features TomoHelical and TomoDirect delivery capabilities.
April 14, 2010 - For the first time, the U.S. Food and Drug Administration (FDA) gave 510(k) clearance to a gamma camera indicated for endocavity imaging.
April 14, 2010 - One of the biggest challenges in radiation therapy is delivering the dose without damaging surrounding healthy tissue. This is particularly difficult with tumors that move due to patient respiration. A new motion management system is designed to monitor and adjust for tumor motion during standard treatment and respiratory gating treatment.
Bayer Radiology’s Barbara Ruhland and Thom Kinst discuss how radiology departments can address the many different ...
April 14, 2010 - There will be greater personal interaction, exchange, and networking among attendees and exhibitors, at the Society for Imaging Informatics in Medicine's (SIIM) 2010 Annual Meeting, June 3-6 in Minneapolis. SIIM this year will debut two new additions to the integrated learning program: "Vendor tie-in" sessions and the Shared learning community.
April 14, 2010 - The Agency for Healthcare Research and Quality (AHRQ) has awarded the Society of Nuclear Medicine (SNM) a $48,000 grant to hold a conference to develop research on the comparative effectiveness of positron emission tomography (PET) and other molecular imaging techniques.
April 14, 2010 - Researchers found a new amyloid imaging agent for positron emission tomography (PET) to be efficacious in assigning patients with clinically probable Alzheimer's disease (AD) or amnestic mild cognitive impairment (MCI).
eHealth Saskatchewan plays a vital role in providing IT services to patients, health care providers, and partners such ...
April 9, 2010 - As breast magnetic resonance imaging (MRI) becomes increasingly important as a method for screening women who are at high risk for developing breast cancer, the American College of Radiology (ACR) is addressing the need for regulating the technique.
April 9, 2010 - The U.S. Food and Drug Administration (FDA) will no longer allow a third party review process on new radiotherapy equipment. The announcement came in a letter the FDA sent to 93 makers of radiation treatment devices, urging them to attend a workshop to address concerns about patient exposure to excess radiation from medical treatments and procedures.
April 8, 2010 - Lung tumors have been among the most challenging radiation therapy targets because the patient's breathing causes tumors to move.
The Kearney Breast Center at Southwest Washington Medical Center in Vancouver, Wash., has one mission: to provide breast cancer screening, diagnosis and treatment with state-of-the-art care in a compassionate environment.
April 7, 2010 - The lack of radiation therapy treatment African-American women receive is not responsible for the poorer survival noted among African-American patients.
April 7, 2010 - A dual-modality tomographic (DMT) breast scanner, developed by researchers at the University of Virginia Health System (UVA), in a pilot study pinpointed to a much finer degree than mammography, ultrasound, MRI and even a needle biopsy, the location of breast masses and more accurately distinguished between cancerous and harmless lesions.
April 7, 2010 - A new imaging agent, used in brain positron emission tomography (PET) imaging of ?-amyloid in patients with suspected Alzheimer’s disease (AD) or mild cognitive impairment (MCI), is being evaluated for use in the United States and the European Union.
April 7, 2010 - The American College of Radiology Imaging Network (ACRIN) has officially launched a new clinical study on FDG-PET/CT for the head and neck led by Val Lowe, M.D., professor of radiology, Division of Nuclear Medicine, at Mayo Clinic, Rochester, Minn.
April 19, 2010 