A private cloud strategy, by EMC, lets healthcare providers simply and efficiently utilize information to make more ...
Carestream’s Mammography Workstation is a vendor-neutral, multi-modality breast imaging workstation and flexible digital ...
The eHealth Portal service, by Carestream Health, equips healthcare providers that use the company’s remotely hosted ...
Radiology departments have many different needs and face a wide variety of challenges that can impact their departments ...
Bracco offers contrast imaging agents for computed tomography (CT), magnetic resonance imaging (MRI), angiography and ...
MediCal QAWeb, by Barco, is the first online service for high-grade quality assurance (QA). The all-inclusive secured ...
The ProScribe, by Barco, is an advanced mobile point-of-care display for physicians and nurses who need to stay ...
Despite decades of progress in breast imaging, one challenge continues to test even the most skilled radiologists ...
The CliniScape mobile clinical assistant, by Barco, enables nurses and physicians to make more informed clinical ...
October 27, 2010 – A new mammography system upgrade includes advanced imaging processing software and new premium screens that employ structured needle phosphor technology. The upgrade is available on Carestream Health’s computed radiography (CR)-based mammography systems.
October 27, 2010 – A new distribution agreement has been signed allowing Varian Medical Systems to offer Vision RT’s motion management products to its customers. The two companies have been working in collaboration to facilitate the interoperability between their respective products.
Bayer Radiology’s Barbara Ruhland and Thom Kinst discuss how radiology departments can address the many different ...
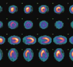
October 27, 2010 – A new digital silicon photomultiplier technology has been developed with applications in both X-ray and nuclear imaging. Philips developed the technology by scaling a single-pixel sensor to a fully integrated 64-pixel sensor with a sensing surface of more than 10 square centimeters.
An all-inclusive service, information and workflow enhancement is now available exclusively on Konica Minolta’s ImagePilot. Informity includes off-site archive and disaster recovery, Web-based collaboration tools for sharing images with referring clinicians and automated updates and virus protection.
An update to the Centricity PACS, version 3.2, by GE Healthcare, offers many features that were either requested by ...
eHealth Saskatchewan plays a vital role in providing IT services to patients, health care providers, and partners such ...
GE Healthcare's Adaptive Statistical Iterative Reconstruction (ASiR) technique can help reduce CT dose by up to 50 ...
October 26, 2010 – A new radiation therapy (RT) picture archiving and communication system (PACS) has been launched in the North American market. Infinitt RT PACS and Radiation Therapy Information System (RTIS) will integrate data from an array of sources and provide access to the data for planning, monitoring and facilitating all aspects of the complex radiation treatment process.
October 26, 2010 – Rush University Medical Center in Chicago, one of the top academic medical centers in the United States, has awarded a five-year, $25 million contract for medical equipment and health IT consulting services to Siemens Medical Solutions USA.
October 26, 2010 - The Society of Cardiovascular Computed Tomography (SCCT) has collaborated with the American College of Cardiology Foundation and other societies on the update to the cardiac CT appropriate use criteria.
October 26, 2010 – New ultrasound systems on display at RSNA will demonstrate enhanced patient care, increased clinical confidence and will bring more diagnostic information to the reading room. The iU22 xMatrix premium ultrasound system, by Philips, features an ergonomically designed X6-1 PureWave xMatrix array transducer.
October 26, 2010 – New magnetic resonance (MR) imaging advancements from GE Healthcare to be displayed at RSNA 2010 will focus on patient comfort, enhanced clinical utility and workflow improvements to boost radiologist and technologist productivity.
October 26, 2010 – At RSNA 2010, GE Healthcare will demonstrate its latest updates related to the healthymagination-validated Innova dose-efficient X-ray technology.
October 26, 2010 – At RSNA 2010, Agfa HealthCare will showcase its latest solutions in digital radiography (DR). At the heart of all the company’s digital solutions is the Musica2 imaging software and NX station. Musica2 is exam-independent and analyzes the characteristics of each image and optimizes processing parameters, independent of user input and dose settings.
October 27, 2010 