November 29, 2023 —Flywheel, a leading medical imaging artificial intelligence (AI) development platform, today ...
November 29, 2023 — Bayer continues to advance its comprehensive Radiology portfolio with progress in the development ...
November 28, 2023 — Curtis P. Langlotz, MD, PhD, has taken the helm as 2023-2024 president of the Radiological Society ...
Radiology departments have many different needs and face a wide variety of challenges that can impact their departments ...
November 29, 2023 — Using artificial intelligence (AI) to analyze specialized brain MRI scans of adolescents with and ...
November 29, 2023 — A deep learning artificial intelligence (AI) model that was developed using only mammogram image ...
November 29, 2023 — Researchers have identified objective evidence of how the neck muscles are involved in primary ...
Despite decades of progress in breast imaging, one challenge continues to test even the most skilled radiologists ...
November 29, 2023 — Following the theme of the Radiological Society of North America Scientific Assembly and Annual ...
November 28, 2023 — Combining Vista.ai's leading radiology AI-guided software that automates MRI exams for quick and ...
November 28, 2023 — iCAD, Inc., a global medical technology leader in innovative cancer-detection solutions, and ...
Bayer Radiology’s Barbara Ruhland and Thom Kinst discuss how radiology departments can address the many different ...
November 28, 2023 — Canon Medical Components USA (CMCU) - Digital Radiography (DR), global leaders in advanced flat ...
November 28, 2023 — iCAD, Inc., a global medical technology company developing cancer-detection solutions, will present ...
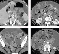
November 28, 2023 — New research being presented this week at the annual meeting of the Radiological Society of North ...
eHealth Saskatchewan plays a vital role in providing IT services to patients, health care providers, and partners such ...
November 28, 2023 — Smoking marijuana in combination with cigarettes may lead to increased damage of the lung’s air sacs ...
November 28, 2023 — By early Monday morning, on the second day of RSNA 2023, there were significant news announcements ...
November 27, 2023 — Mass General Brigham and Annalise.ai today announced a collaboration to bring together their ...
November 27, 2023 — The executive leadership teams from Canon Inc. and Cleveland Clinic gathered early on day two of the ...
November 27, 2023 — ConcertAI's TeraRecon, the advanced visualization and clinical AI leader, recently unveiled first-in ...
November 27, 2023 — Medweb, a leading innovator in medical imaging technology, today announced MedwebX, a comprehensive ...
November 27, 2023 — Barco announces introduction of the DL Precise AI software in addition to the current Intuitive ...
November 27, 2023 — At the Radiological Society of North America's (RSNA) 109th Scientific Assembly and Annual Meeting ...
November 29, 2023 