Jan.26, 2026 — SimonMed Imaging has unveiled an updated brand and the launch of SimonMed Longevity, a new division ...
Jan. 027, 2026 — QT Imaging and Olea Medical have announced plans to collaborate. This collaboration enhances QT Imaging ...
Jan. 26, 2026 — Nuclidium, a clinical-stage radiopharmaceutical company developing a proprietary copper-based ...
While most women understand the importance of health screenings, an estimated 72 million have missed or postponed a ...
Jan. 26, 2026 — Researchers at the University of Arizona were awarded up to $1.8 million by the Advanced Research ...
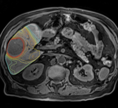
Jan. 21, 2026 — Aidoc recently announced that the U.S. Food and Drug Administration (FDA) cleared the industry's first ...
Jan. 22, 2026 — Qure.ai has received a grant from the Gates Foundation to develop a large open-source multi-modal ...
Fujifilm’s APERTO Lucent is a 0.4T mid-field, open MRI system addressing today’s capability and image quality needs ...
Jan. 11, 2026 — The Global Refurbished Medical Imaging Equipment Market Size is projected to grow at a CAGR of 15.07% ...
Jan. 21, 2026 — Cathpax, a spin-off of the Lemer Pax group that designs, develops and commercializes team-wide, full ...
Jan. 21, 2026 — Fujifilm Healthcare Americas Corp. and Voicebrook, Inc. have announced a strategic partnership to ...
SPONSORED CONTENT — Fujifilm’s latest CT technology brings exceptional image quality to a compact and user- and patient ...
Jan. 21, 2026 — The American College of Radiology (ACR), through the ACR Institute for Radiologic Pathology (AIRP), has ...
Jan. 22, 2026 — The nomination deadline for the 2026 RSNA Rising Star Award is approaching. The Rising Star Award is ...
Jan. 20, 2026 — The American Society of Radiologic Technicians (ASRT) Foundation has named ASRT member Danielle McDonagh ...
SPONSORED CONTENT — EnsightTM 2.0 is the newest version of Enlitic’s data standardization software framework. Ensight is ...
Jan. 20, 2026 — Hyperfine, the developer of the first FDA-cleared AI-powered portable MRI system for the brain — the ...
Jan. 16, 2026 — Vega Imaging Informatics has announced the successful curation of the world’s largest digital breast ...
Jan. 14, 2026 — VizMark has received U.S. Food and Drug Administration FDA 510k clearance for VM1, a non-metal visual ...
Jan. 16, 2026 — Elekta has announced that its Elekta Evo* CT-Linac has received 510(k) clearance from the U.S. Food and ...
Jan. 16, 2026 — In a proof-of-concept study funded by the National Institutes of Health, researchers from the Keck ...
Jan. 14, 2026 — Susan G. Komen, the world’s leading breast cancer organization commends Assemblymember Lori Wilson (D ...
Jan. 13, 2026 — A streamlined, nurse-led response for hospitalized patients experiencing an acute stroke at a Texas ...
Jan. 14, 2026 — iSono Health has announced the commercial launch of ATUSA, an FDA-cleared, wearable and automated 3D ...
January 27, 2026 