While the mass COVID-19 vaccination effort over the past four months is bringing closer the light at the end of the pandemic tunnel, as with all things in medicine, it is not without a cost. But the cost here will be in terms of added patient anxiety and financial due to potential of additional, needed tests.


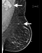
April 9, 2021 — 3-D mammography reduces the number of breast cancer cases diagnosed in the period between routine screenings, when compared with traditional mammography, according to a large study from Lund University in Sweden. The results are published in the journal Radiology.

April 9, 2021 — According to an open-access article in ARRS' American Journal of Roentgenology (AJR), IV contrast-enhanced 2-millisievert CT (2-mSv CT) is comparable to conventional-dose CT (CDCT) for the diagnosis of right colonic diverticulitis.

2022 SBI/ACR Breast Imaging Symposium

April 8, 2021 — Siemens Healthineers announced the winner of their architecture competition for the upcoming 'Innovation Hub' in Bengaluru. The company invited six architecture firms to participate in a contest to design a campus that combines the existing research and development center and a state-of-the-art manufacturing facility for entry-level medical imaging products. The campus will also house the Indian Sales headquarters and is to be set up over the next five years.

April 8, 2021 — Varian announced it is collaborating with Google Cloud to build an advanced artificial intelligence (AI) based diagnostic platform to aid in the fight against cancer.

April 8, 2021 — Mobidiag Oy, a privately held, commercial-stage Finnish-French developer of innovative molecular diagnostic tests and instrumentation, announced today that it has signed a definitive agreement to be acquired by Hologic, Inc., a global leader in women's health, for an enterprise

April 7, 2021 — Life Image, a medical evidence network for clinical and imaging data, released findings of its survey investigating the healthcare industry’s preparedness to comply with the Information Blocking and Improving Interoperability provisions of the Office of the Nationa

April 7, 2021 — Vysioneer, a leader in artificial intelligence (AI) for cancer care, announced it received the U.S. Food and Drug Administration (FDA) clearance for VBrain, the first-ever AI-powered tumor auto-contouring solution.

April 7, 2021 — Body composition information derived from routine chest computed tomography (CTs) can provide important information on the overall health of people with chronic obstructive pulmonary disease (COPD), including their risk of all-cause mortality, according to a study published in Radiology.

Subscribe Now