February 7, 2008 - Opus Healthcare will display its new Mobility 2.0 system, which displays on smart phones a wide variety of hospital medical data including real-time information from medical devices, at HIMSS 2008 later this month.

Opus Mobility 2.0 uses the Windows 5 mobile platform and can be carried by all major national cell phone carriers. The Opus Mobility 2.0 system has been in use for 14 months by the Corona Regional Medical Center and is now being installed in a dozen more hospitals around the country, the company says.

February 7, 2008 - Innovative Office Products Inc. will introduce a new healthcare mounting solution - the 9400 Point-of-Care Arm - at the 2008 HIMSS Conference Feb. 24-28 in Orlando, FL.

The new 9400 mounting arm extends almost 6 feet to maximize the flexibility of space-challenged healthcare environments. It can be mounted behind a hospital bed while still extending far enough for the patient or caregiver to view the computer screen or LCD TV. The arm folds upwards, minimizing the consumption of valuable horizontal space.


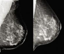
There were notable advances last year in diagnosing and treating breast cancer due in part to the widespread adoption of effective diagnostic tools such as digital mammography, ultrasound, breast MR and PET/CT. Innovation in technology, however, also stirred up controversy in 2007, in particular over the efficacy of computer-aided detection (CAD) as a second read for digital mammography.



The tide may finally be turning in the fight against cancer as the decline in cancer deaths nearly doubled from 2002 to 2004, the American Cancer Society reported in October 2007.1 Early diagnosis enabled by digital mammography and breast MRI are currently building the momentum, but new developments in tomosynthesis, cone-beam CT and biomarkers may be the tipping point.


February 7, 2008 - ECRI Institute will serve as an unbiased expert, offering equipment-purchasing clients updated information on the medical equipment, as well as present a technology session and assist on-hand as an expert resource during the upcoming Computed Tomography (CT) Live Group BuyCT, slated for March 26 to March 28 in Dallas, TX.

February 7, 2008 – The Harris Corp., a $4.2 billion technology provider to the government, military and intelligence communities, will officially enter the healthcare IT market at the 2008 HIMSS Conference in Orlando, FL later this month.

February 7, 2008 – BayScribe will launch a new turnkey medical dictation and transcription document reporting workflow solution during the 2008 HIMSS conference in Orlando, FL later this month.

From the makers of Digital Voice, comes BayScribe in a Box, which the company says is a complete fault-tolerant, document reporting system with voice capture, ADT capture, routing, workflow management, transcription, and document delivery as required. The makers say it provides a seamless user experience from dictation to document distribution.

February 7, 2008 – TomoTherapy Inc. completed production of its 200th TomoTherapy Hi·Art treatment system, shipping to the hospital which became Italy’s first to use intensity-modulated radiation therapy (IMRT) in 2001.

Santa Maria Nuova (SMN) hospital in Reggio Emilia, Italy, reportedly cited higher quality patient treatments and expanded clinical capabilities as reasons for its Hi·Art purchase decision.

February 7, 2008 - The first image-guided intensity modulated arc therapy patient treatment using commercially released product solutions was completed using Elekta Synergy image guided system fitted with the new Elekta linear accelerator control system.

The Royal Marsden Hospital in Sutton UK used an Elekta Synergy image guided system fitted with the new Elekta linear accelerator control system in order to deliver volumetric intensity modulated arc therapy (VMAT) to a patient undergoing a course of radiation therapy treatment for lung cancer.

February 7, 2008 - $1.5 million was donated to the Research and Education Foundation of the Radiological Society of North America (RSNA) to endow the Derek Harwood-Nash Scholar Grant, representing the largest individual gift and first individual grant endowment in the 24-year history of the RSNA Research and Education Foundation.

Subscribe Now