Medical imaging and healthcare IT experts from Carestream will host an interactive discussion entitled, “How to Future-Proof Your X-ray and Health IT Purchases with Modular Systems” at 3:45-4:40 p.m., Monday, Dec. 2, at the RSNA Exhibitor Product Theater, held as part of the annual meeting and exhibit of the Radiological Society of North America.

The American Society of Echocardiography (ASE) Foundation is announced the Echo AUC, a new mobile application that is designed to guide physicians in appropriate procedures in cardiovascular care and echocardiography, is available for download in both the Apple and Droid application stores.

About 1 in 8 women will be diagnosed with breast cancer in their lifetime, but early detection can lead to more treatment options and increased chances of survival. On Oct. 17, Kaiser Permanente made an effort to communicate the importance of early detection by setting a Guinness World Record for the most breast cancer screenings completed in one day at multiple sites. A total of 5,939 possibly lifesaving mammograms were administered at Kaiser Permanente facilities across the country.

 

Radiologists at ProMedica Toledo Hospital Breast Care Center have a new tool to help evaluate breast tissue density on a mammogram.

GE Healthcare announced that the somo•v Insight System was recognized as the category leader with the highest ranking in Women’s Imaging (Specialty) in the 2013 Best in KLAS Awards: Medical Equipment and Infrastructure Report.

The American Society of Radiologic Technologists (ASRT) launched the ACE campaign to elevate the status of radiologic technologists by educating patients about the radiologic technologist's role on the health care team.

Providing effective care for obese patients and minimizing sonographer stress were key requirements when Community Hospital Anderson, an award-winning 207 bed acute care hospital serving Madison County, Ind., was evaluating new ultrasound systems for purchase. 

“We have a number of obese patients,” said Beth Tharp, president and CEO of Community Anderson. “So our search for new ultrasound equipment focused on top of the line technology that could effectively image all the varied patients we serve.”

Community Anderson’s list of evaluation criteria was typical in that it included image quality, technology, ergonomics, and vendor support. But the evaluation team added another crucial requirement — the ability to effectively image at depth.

 


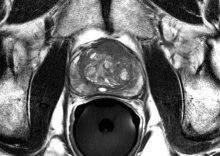
Ronald Wheeler, M.D., along with contributing radiologists, authored a clinical study demonstrating the use of magnetic resonance imaging (MRI) in the diagnosis and treatment of prostate cancer indicating a greater than 99 percent rate of cure when combined with high-intensity focused ultrasound (HIFU) treatment.


Vizamyl (flutemetamol F-18) Alzheimer's imaging agent

Subscribe Now