Vital Images Inc., a Toshiba Medical Systems Group Company, is expanding in the EMEA market with an increasing number of organizations migrating to Vital's VitreaAdvanced solution to help improve efficiency, communication and patient care. The VitreaAdvanced advanced visualization solution provides 2-D, 3-D and 4-D images for applications addressing cardiovascular, neurovascular and oncology disease states. Fueled by intelligent automation, it utilizes a clinical workflow to improve speed and simplicity of use.

The BioZorb 3-D surgical marker improved targeting for radiation therapy by enhancing visualization of the breast cancer lumpectomy cavity. This is according to a presentation at the 2014 Breast Cancer Coordinated Care (BC3) conference in Washington D.C.

The Finnish mammography provider Suomen Radiologikeskus Oy signed an agreement with the IT and medical technology company Sectra. Togethery they will provide osteoporosis assessment in conjunction with public mammography screening in all of Keskus’ nine mammography centers in Finland. Women can have their bone health examined at the same time as their regular mammogram, enabling early detection of osteoporosis and reducing the risk of future fractures. 


Interoperability, mobile connectivity and technologies that drive real-time actionable information at the point of care will be the focus of health information technology (IT) investments in 2014. This is according to the results of a new healthcare leadership survey released by Philips Healthcare.



Spurred by provisions of the Affordable Care Act (ACA) and other legislation, usage of breast cancer screening mammography and related follow-on diagnostic testing is expected to increase in the coming years. Yet there is wide variation in the utilization and sequence of follow-on testing on a patient-by-patient basis, including a high rate of “false positive” for biopsies. This suggests better methods for selecting suspicious lesions could reduce the number of unnecessary biopsies. 



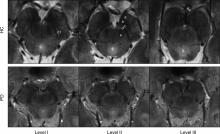
Research shows that ultra-high-field magnetic resonance imaging (MRI) provides detailed views of a brain area implicated in Parkinson’s disease, possibly leading to earlier detection of the condition. The results of this research are published online in the journal Radiology.


Patients who received daily humidification of the mouth and throat region beginning from day one of radiation therapy treatment spent nearly 50 percent fewer days in the hospital to manage their side effects, according to research presented today at the 2014 Multidisciplinary Head and Neck Cancer Symposium.

Advanced Accelerator Applications, an international specialist in molecular nuclear medicine (MNM), announced it has entered into an agreement to acquire 100 percent of the shares of Imaging Equipment Ltd., a privately held U.K. distributor of nuclear medicine products and technologies.

Research by Beaumont Health System radiation oncologists and neurosurgeons found that symptoms of trigeminal neuralgia (TN) were reduced in those treated with Gamma Knife stereotactic radiosurgery. The results were published in the February issue of the journal Clinical Neurology and Neurosurgery.


We all use computer monitors for our jobs on a daily basis, but most are not configured for an ideal ergonomic workstation. Here are a few suggestions to achieve the best results from ergonomic workstations vendor AFC Industries Inc.


Subscribe Now