Healthcare imaging specialist Barco announced the availability of its 4K end-to-end solution for the operating room, comprising a 4K 31-inch and 58-inch surgical display and its OR-over-IP management platform for streaming of 4K video and data. The complete surgical portfolio will be showcased at Medica 2015, Nov. 16-19 in Düsseldorf, Germany.

At this year’s Radiological Society of North America (RSNA) annual meeting, GE Healthcare is showcasing continued advancements in magnetic resonance imaging (MRI) technologies. In the spirit of GE MR’s Continuum strategy, the company will showcase advanced applications as well as the Signa Pioneer 3.0T, Signa Explorer and Signa Creator 1.5T MRI scanners.


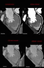
Computed tomography has seen rapid growth in all segments of medicine over the past two decades, and recent advances may further expand use of cardiac computed tomography angiography (CCTA). Advocates for cardiac CT speaking at the 2015 meetings of the American College of Cardiology (ACC), Society of Cardiovascular Computed Tomography (SCCT) and Transcatheter Cardiovascular  Therapeutics (TCT) laid out the latest technological advancements and outlined new clinical trial data that may help CT become a first-line, one-stop-shop cardiac imaging modality in the near future. 


The 1990s were cast by myth and ambition. Taxi drivers wearing caps hyping digital radiography (DR); banners atop RSNA booths announcing the arrival of flat panel detectors; demos of digital radiographs being fed into picture archiving and communication systems (PACS).

The American College of Radiology (ACR), founded in 1923, has remained the cornerstone in all matters to do with radiology, continuing to improve, promote and protect the advancement of radiology. Leading the radiology evolution, the ACR represents over 37,000 members spanning the imaging spectrum.  


Breast cancer research conducted by two Fayetteville, Ark., medical groups highlights their success in pioneering use of an absorbable, three-dimensional marker used during treatment for breast cancer. Their cost analysis showed that by helping to shorten the course of radiation treatments, the surgical marker contributed to a 25 percent cost savings per patient.



The fight against breast cancer has been a highly visible campaign for several decades, with numerous high-profile charities, research groups and celebrity cases helping shine a large spotlight on one of the most frequently diagnosed forms of cancer. Aside from working to find a cure, a large part of the conversation has focused on how to most accurately determine who is at high risk for contracting the disease. 


In the wake of healthcare reform, facilities have found it essential to offer the most comprehensive solutions to their patients without compromising workflow or business needs. But this necessity begs the question: How does a facility expand its imaging offerings to remain competitive without compromising quality of care or cost of ownership? 

Maintaining a Competitive Edge


Jan. 1, 2017, marks the date that provider organizations must begin accompanying Medicare radiology claims with proof of the use of clinical decision support (CDS) in the ordering process to receive full reimbursement. This represents a milestone in the effort to improve patient care quality while reducing the cost of care.


Subscribe Now