INFINITT North America released a 3D-visualization and analysis tool that uses volume rendering and other post-processing techniques to improve nodule detection and clinicians’ workflow in lung cancer screening, diagnosis, presurgical planning and treatment evaluation.
INFINITT developed the Xelis line of products as software modules that can be fully-integrated with INFINITT’s web-based PACS, providing fast data loading, visualization of large-volume data sets and web-based access from any Internet-connected PC.
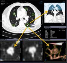
Xelis-Lung Solution improves utilization of MDCT (multi-row detector Computed Tomography) data and offers automated nodule detection for both solid and GGO (Ground Glass Opacity) -type nodules. It provides automatic 3D nodule volume measurements and other key statistics useful in nodule classification. The system provides three viewing modes: one for manual-detected nodule review followed by manual-detected nodule review followed by auto-detected review, and one for concurrent manual and automatic detection review.
Additional features that are designed to enhance radiologist workflow and ensure accurate diagnosis include the ability to select from various viewing layouts, an easy-to-use segmentation tool, the ability to insert annotations or label each nodule, and automatic job-save to store the working context.
November 29, 2025 