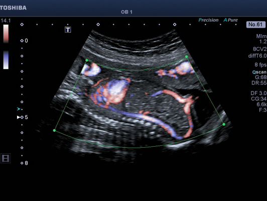
rsna 2013 cardiovascular ultrasound toshiba aplio 500 advanced dynamic flow

December 16, 2013 — Ultrasound will be able to depict blood flow with more detail and accuracy using Toshiba America Medical Systems Inc.’s work-in-progress ultrasound capability, which is the latest advancement to Toshiba’s Aplio 500 ultrasound system.
 
Despite advances in ultrasound, current imaging techniques struggle to detect microvascular blood flow in areas like the liver, kidneys, abdomen and lymph nodes because of limitatxions in conventional Doppler technologies. Toshiba’s technology will help solve this problem and current evaluations have shown promise in its ability to characterize tumors.
 
Flemming Forsberg, Ph.D., professor of radiology, Thomas Jefferson University, is impressed with his early analysis of the technology.
 
“The images we’ve produced so far with this technology are stunning,” said Forsberg. “It is able to clearly show low blood flow in small vessels throughout the body. The potential clinical utility for characterizing lesions, cysts and tumors could make ultrasound an even more important tool in diagnoses.”
 
“This level of vascular visualization combined with high frame rates is something we could not do before in ultrasound,” said Jiro Hata, M.D., Ph.D., professor, Department of Clinical Pathology and Laboratory Medicine, Kawasaki Medical School, Japan, and an early evaluator of this technology. “For example, ultrasound can now help with the evaluation of changing blood flow patterns, especially in the gastrointestinal tract.”
 
For more information: www.medical.toshiba.com, www.rsna.org

Related Content

News | Ultrasound Women's Health

Feb. 5, 2026 — BrightHeart, a global provider of AI-driven prenatal ultrasound, has announced the availability of its B ...

Time February 05, 2026
arrow
News | Radiology Education

Jan. 22, 2026—The American Roentgen Ray Society (ARRS) will host a live virtual symposium, "Medical Imaging for ...

Time January 28, 2026
arrow
News | Point-of-Care Ultrasound (POCUS)

Jan. 27, 2026 — Siemens Healthineers and World Athletics have joined forces to inform medical teams how point-of-care ...

Time January 27, 2026
arrow
News | Radiology Imaging

Jan. 26, 2026 — Researchers at the University of Arizona were awarded up to $1.8 million by the Advanced Research ...

Time January 26, 2026
arrow
News | Focused Ultrasound Therapy

Dec. 19, 2025 — Washington University in St. Louis (WashU) has been recognized as a Focused Ultrasound Center of ...

Time December 23, 2025
arrow
News | Cardiac Imaging

Dec. 15, 2025 — Royal Philips has entered into an agreement to acquire SpectraWAVE, Inc., an innovator in enhanced ...

Time December 18, 2025
arrow
News | RSNA 2025

Oct. 31, 2025 — Echolight plans to demonstrate its bone density scanning technology at the Radiological Society of North ...

Time November 03, 2025
arrow
News | Cardiac Imaging

Oct. 24, 2025 —YorLabs, Inc., a medical technology company developing next-generation intracardiac imaging solutions for ...

Time October 27, 2025
arrow
News | Ultrasound Women's Health

Sept. 30, 2025 — Sona, the first free, HIPAA-compliant platform that securely delivers ultrasound images directly to ...

Time October 02, 2025
arrow
News | Women's Health

Sept. 15, 2025 — GE HealthCare has launched the Voluson Performance series, the latest addition to its women’s health ...

Time September 15, 2025
arrow
Subscribe Now