May 3, 2017 — Epsilon Imaging Inc. announced a research study using EchoInsight was presented at the American College of Cardiology (ACC) 2017 Annual Scientific Session and Expo conference from a team at Northwestern University.
The study, "Strain Imaging in Breast Cancer Patients treated with Current Non-Anthracycline, Trastuzumab-Based Regimens," was presented by Grier, EA, Akhter N, et al. Until now, trastuzumab is known to increase the risk of cardiotoxicity when combined with anthracycline agents. This study assessed the independent effects of trastuzumab in current non-anthracycline-based regimens on left ventricular function using echocardiographic strain imaging.
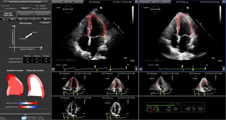
Thirty-four patients with human epidermal growth factor receptor 2 (HER2)-positive breast cancer who were treated with non-anthracycline trastuzumab-based regimens at a single center underwent standard echo studies prior to starting chemotherapy, and again at three-month intervals during therapy. Two-dimensional speckle-tracking strain was retrospectively obtained using EchoInsight software. The results of the study showed 10 patients developing cardiotoxicity during therapy. A significant reduction in global longitudinal strain (GLS) preceded the decrease in LVEF. A significant decrease in global circumferential strain (GCS) was demonstrated after a change in GLS.
"Our study demonstrated that trastuzumab-based regimens demonstrate a risk of cardiotoxicity that is independent of anthracyclines," said Nausheen Akhter, M.D., assistant professor of medicine at Northwestern University and director of cardio oncology at Northwestern Medicine. "Close cardiac surveillance with current non-anthracycline trastuzumab-based regimens is still needed in cardio oncology management."
For more information: www.acc.org
November 03, 2025 