June 10, 2015 - In May, Group of Companies European Medical Center (GEMC) became the first private clinic in Russia to open a positron emission tomography (PET-CT) department producing its own pharmaceuticals. GEMC also opened a radiation cancer therapy department featuring two linear accelerators.
GEMC has thus created an Institute of Oncology unprecedented among private clinics in Russia, implementing a comprehensive oncologic protocol - from screening and high-accuracy diagnostics (PET/CT, magnetic resonance imaging, pathomorphology, immunohistochemistry, genetic testing) to chemotherapy and radiotherapy, da Vinci robot-assisted surgery, provision of psychological support for patients and their families, palliative care and pain treatment.
"The project received over ten favorable decisions and permits on security from regulatory bodies and expert organizations. All facilities are equipped with modern radiometric and radiation-monitoring equipment certified in Russia according to national and international standards," stated Leonid Shayman, GEMC board member responsible for the creation of the PET-CT and the Radiation Therapy Departments.
"The main advantage of the equipment is its ability to apply more intense radiation exposure in less time, greatly increasing the effectiveness of treatment, while reducing the length and number of sessions. The department provides round-the-clock emergency radiotherapy for oncologic emergencies, and radiation treatment of cancer in children over three," added Shayman.
The PET-CT and Radiotherapy Center is located at the multifunctional GEMC hospital in Moscow. The total amount invested is 1.35 billion rubles. The annual capacity of PET-CT Diagnostics Center is 6,000 patients; the radiation therapy department capacity is 25,000 patients.
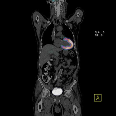
The Department of Radionuclide Diagnostics is equipped with PET-CT and Philips Gemini computed tomography (CT) systems and the single-photon emission computed tomography (SPECT) Philips Brightview XCT system. The department features a cyclotron by IBA that produces its own PET-CT radiopharmaceuticals. The extended quality control laboratory, equipped with the most modern equipment, is operational. A research technique on sentinel lymph node for breast cancer and melanoma is applied. An expansion of radiopharmaceutical production choline and tyrosine applied in oncourology and neurosurgery is planned in autumn 2015.
The Department of Radiotherapy is equipped with TrueBeam and Trilogy linear accelerators by Varian. Treatment is performed by highly skilled professionals trained in radiation therapy in leading clinics in Israel and the United States.
For more information: www.emcmos.ru/en
November 04, 2025 