February 12, 2024 — Radformation, a global pioneer in radiation oncology software solutions, is pleased to announce its strategic partnership with Icon Group, a worldwide leader in comprehensive cancer care. This collaboration unites the expertise of two innovators, setting the stage to significantly transform cancer care through groundbreaking workflows and advanced software solutions.
Icon is globally recognized for its unwavering commitment to providing exceptional end-to-end cancer treatment and patient care. Operating a global network of state-of-the-art cancer centers, compounding facilities, research and pharmacy management services, Icon is focused on addressing the global cancer burden by bringing the best care to as many people as possible, as close to home as possible.
This commitment to innovation, research, and patient-focused care harmoniously aligns with Radformation’s mission. As a trailblazer in radiation oncology software, Radformation brings to the partnership innovative solutions that simplify intricate treatment planning and quality assurance workflows, helping radiation oncology teams to efficiently and accurately deliver personalized treatment plans.
By merging advanced technology with user-centric interfaces, Radformation’s software empowers clinicians to elevate treatment outcomes and patient experiences, further complementing the exceptional care provided by Icon.
Icon Group Executive Manager of Clinical Care, Trent Aland said this partnership reflects Icon’s ongoing commitment to investing in the latest technologies to improve access to cancer care.
“Our partnership with Radformation will enable us to co-develop and implement quality
improvement tools by leveraging our collective expertise and skills,” said Trent. “We are often first to market in the latest radiation therapy technologies and treatments. Radformation’s tools will support our clinical teams globally and aid in streamlining processes to increase efficiencies and allow us to deliver the best possible care to more people.”
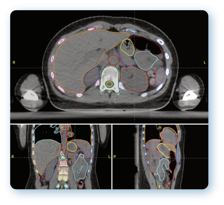
The partnership will commence with AutoContour, Radformation’s AI-driven contouring solution featuring 200 structure models, a robust toolset and image registration to accelerate the pre-treatment planning process, and RadMachine, a cloud-based platform used to streamline Machine QA to ensure the safety and optimal performance of treatment delivery systems, imaging technology, and ancillary equipment. This collaboration aims not only to enhance workflow efficiency and increase treatment accuracy but most importantly, to significantly improve patient outcomes.
"We are thrilled to partner with Icon," said Joe Ianni, VP Global Sales & Strategic Partnerships for Radformation. "Their global reputation for excellence and commitment to innovation aligns seamlessly with our vision for advancing radiation oncology workflows. Together, we have the opportunity to improve the way cancer treatment is delivered and further empower clinicians in their mission to save lives."
For more information: www.radformation.com
November 13, 2025 