Sept. 11, 2024 — A new study introduced at the International Association for the Study of Lung Cancer (IASLC) 2024 World Conference on Lung Cancer in San Diego, Calif., shows promising initial results using AI-powered chest X-ray interpretation to detect pulmonary nodules which could develop into early-stage lung cancers long before symptoms appear. The retrospective study demonstrated via interim results, an average diagnostic delay of nearly three years from the first abnormal chest X-ray.
The study conducted at the Phrapokklao Hospital’s Cancer Centre of Excellence in Bangkok, Thailand was led by Dr Passakorn Wanchaijiraboon, Medical Oncologist and Deputy Director using the Qure.ai chest X-ray AI solution qXR.
Dr. Passakorn Wanchaijiraboon, while unveiling the poster, said the study "provides a snapshot of the significant potential that AI-assisted chest X-ray analysis holds for transforming early cancer detection and reducing the rate of missed lung cancer diagnoses. In most Thai government hospitals, chest X-rays are interpreted by non-radiologists. However, in community hospitals, there are often no radiologists available to read chest X-rays at all. By overlaying specialist AI to read all cases, we can support clinicians in detecting incidental high-risk nodules that may lead to lung cancer. This approach can streamline decision-making and potentially improve patient survival through the earlier diagnosis of cancer. The implementation of CXR AI is particularly beneficial in the context of community hospitals, where it can significantly enhance diagnostic capabilities in the absence of on-site radiologists.”
The Phrapokklao Cancer Centre study retrospectively reviewed and evaluated the chest X-ray image database of newly diagnosed lung cancer patients over an annual period using qXR. Missed lung cancer was defined as missed in the original report six months prior to a definitive lung cancer diagnosis. 18 percent of patient cases were found to have a missed lung cancer diagnosis over an average period of nearly three years (32.3 months), with a maximum duration of over eight years (96 months) and minimum eight months. Half the patient cases had chest X-rays taken for non-respiratory symptoms as part of a health check-up, categorizing them as "incidentally detected."
This "underscores the transformative potential of AI in the fight against lung cancer,” states Bhargava Reddy, Chief Business Officer, Oncology at Qure.ai. "Overlaying AI on chest X-rays casts the net wider by proactively triaging patients for the risk of lung cancer. It goes beyond people with symptoms or qualifying for screening initiatives based on age or smoking history, to currently invisible and unprofiled patient populations thus detecting lung cancers earlier.”
The Phrapokklao Cancer Centre study poster abstract can be viewed here.
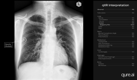
PHOTO CAPTION: Chest X ray of patient with nodule detected by AI/qXR 23 months prior to the diagnosis of lung cancer. The X-ray was obtained as a part of health check-up.
October 31, 2025 