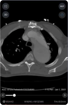
September 25, 2023 — Viz.ai, a leader in AI-powered disease detection and intelligent care coordination, today announced new clinical data supporting advancements in pulmonary embolism (PE) detection. Two studies have demonstrated the real-world clinical efficacy of Viz.ai's PE Module to quickly and accurately identify PE and associated right heart strain, accelerate care coordination, and improve healthcare workflow efficiency. Pulmonary embolism is a severe medical condition, which affects around 900,000 people in the U.S. every year, and often challenging to diagnose and treat due to overlapping symptoms with other diseases.
The first study, "Automated PE Clot Detection and RV/LV Ratio Measurement using AI-based Deep Learning Algorithms: A Preliminary Validation Study," evaluated the performance of Viz PE and Viz Right Ventricle/Left Ventricle (RV/LV) algorithms. The study found that, across 100 retrospectively-collected chest CTPA images, Viz PE demonstrated a sensitivity of 91.1% and specificity of 100.0%. Furthermore, the study revealed a significant positive correlation between algorithmic and manual calculation of RV/LV ratio.
“Our preliminary findings underscore the remarkable performance of Viz PE and Viz RV/LV,” said Parth Rali, M.D., associate professor, Thoracic Medicine and Surgery, Lewis Katz School of Medicine at Temple University. “We are excited to partner with Viz.ai and pioneer investigator-initiated research that will reveal the impact of AI technology in revolutionizing patient care.”
The second study, "The Use of Artificial Intelligence Technology in the Detection and Treatment of Pulmonary Embolism at a Tertiary Referral Center," demonstrated how Viz PE directly improves patient wait times for evaluation. Adoption of Viz.ai's technology significantly reduced time to consult from four hours to six minutes, leading to faster diagnosis and initiation of treatment. When combined with multidisciplinary evaluation by an existing Pulmonary Embolism Response Team (PERT), time to radiology report was reduced by 109 minutes, showcasing the potential combined benefits of AI technology and the PERT model of care on PE care and management.
"The integration of AI technology into our PE workflow has significantly shortened the time-to-consult, helping us to promptly evaluate and triage these potentially unstable patients,” said Jacob Shapiro, M.D., vascular surgery resident at TriHealth “This advancement has the possibility to reshape the landscape of PE management."
“These research studies mark a significant step forward in the utilization of AI technology for PE detection, reaffirming Viz.ai's commitment to improving patient care and outcomes,” said Molly Madziva Taitt, Ph.D., VP of Global Clinical Affairs at Viz.ai “The potential of the AI-powered Viz PE Solution to enhance early detection of PE and associated right heart strain, coupled with streamlined clinical workflow, holds promise for both healthcare professionals and patients worldwide.”
For more information: https://www.viz.ai/vascular
November 17, 2025 