Aug. 1, 2025 — The American Roentgen Ray Society’s American Journal of Roentgenology (AJR) has published a clinically practical model for early pathologic complete response (pCR) prediction in patients undergoing neoadjuvant chemoimmunotherapy (NACI) for triple-negative breast cancer (TNBC).
“This MRI-based predictive model could facilitate timely tailoring of clinical regimens after immunotherapy initiation by informing optimal de-escalation strategies for responders while prompting therapeutic adaptations for nonresponders,” wrote senior and corresponding author Changhong Liang, MD, from the radiology department at Guangdong Provincial People’s Hospital and Key Laboratory of Artificial Intelligence in Medical Image Analysis and Application at Southern Medical University in Guangzhou, China.

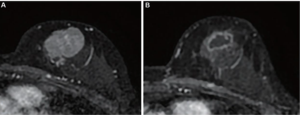
Liang et al.’s AJR manuscript included patients with TNBC undergoing NACI and who underwent breast MRI including dynamic contrast enhancement before treatment and after the first treatment cycle (i.e., early NACI), including a single-center training set of 90 women (mean age, 49 years; January 2018 to September 2024) and an external test set of 29 women (mean age, 46 years; date range unavailable) from publicly available trial data. Two radiologists evaluated MRI features, including percentage enhancement (PE) reduction, representing semiquantitative assessment of relative expansion of intralesional nonenhancing components after early NACI. A model for predicting pCR on definitive surgery after NACI completion was constructed in the training set using independent predictors from multivariable logistic regression analysis and was evaluated in the external test set.
Ultimately, Liang and colleagues’ model constructed to predict pCR in patients undergoing NACI for TNBC combined tumor unifocality on pretreatment MRI and early tumor shrinkage ≥ 37% and percentage enhancement reduction on MRI performed after one cycle. In an external test set, the model achieved AUC of 0.88, sensitivity of 74%, and specificity of 90%.
55-year-old patient with triple-negative breast cancer (TNBC) from training set

An online supplement to this accepted manuscript is also available.
November 29, 2025 