Image courtesy of Doctors Imaging
January 12, 2015 — Doctors Imaging offers a quantitative diffusion tensor imaging (DTI), a new MRI technology that can detect brain damage not appearing on routine MRIs or CT scans. Doctors Imaging is the only imaging facility in Louisiana, and one of only a few in the United States, offering quantitative DTI to better diagnose and ultimately treat concussions suffered in accidents, on the job or while playing sports.
“The need to diagnose concussions quickly and accurately has become a major issue in the medical community, especially with the prevalence of head injuries among athletes,” said Edward Soll, M.D., Doctors Imaging Concussion Program director. “With the new quantitative DTI scans at Doctors Imaging, we can see evidence of brain injury that we weren’t able to see before and now can conclusively diagnose brain injury and better treat patients and their symptoms.”
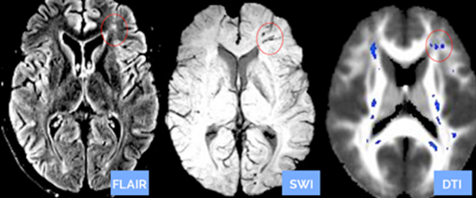
DTI can measure and evaluate small and subtle brain injuries by comparing a patient’s scan to a control group of normal subject DTI scans. This quantitative process helps to diagnose the specifically injured areas of the brain that can help physicians confirm the presence of nerve damage. A patient undergoing a quantitative DTI scan has a similar experience to a patient having a regular brain MRI scan, but the DTI results can reveal much more. As seen in the image below, the blue spots in the DTI brain scan on the right are nerve damage not seen in the two other standard scans of the same brain.
According to a study through the National Institutes of Health, the quantitative DTI scans now offered at Doctors Imaging can help solve those mysteries by showing a more detailed and complete image of the brain. Doctors Imaging has already successfully diagnosed patients whose conventional scans were negative.
For more information: www.doctorsimaging.com
February 13, 2026 