Medical AI company Lunit has announced a groundbreaking collaborative study, to be presented at the 2023 World Conference on Lung Cancer (WCLC 2023), demonstrating the potential of AI-powered Tertiary Lymphoid Structures (TLS) analysis in predicting lung cancer treatment outcomes. Co-led by Lunit and esteemed medical institutions, the study demonstrates that TLS presence is strongly linked with improved overall survival in non-small cell lung cancer (NSCLC) patients.
August 21, 2023 — A Seoul, South Korea-based provider of Artificial Intelligence (AI) for cancer diagnostics and therapeutics, Lunit Inc., has announced that findings from a groundbreaking study will be presented at the 2023 World Conference on Lung Cancer (WCLC 2023), to be held Sept. 9-12 in Singapore.
The study, co-led by Lunit, Northwestern University Feinberg School of Medicine (Chicago, IL), Ascension Saint Francis Hospital (Milwaukee, WI), and Lincoln Medical and Mental Health Center/NYC Health (Bronx, NY), explored the use of Lunit SCOPE IO to forecast immunotherapy treatment outcomes in lung cancer, specifically non-small cell lung cancer (NSCLC). The company reported that the study builds on recent academic findings that the presence of TLS can serve as a predictive marker for the effectiveness of immuno-oncology treatment. These findings underscore the potential of AI-based TLS analysis as a biomarker for predicting treatment response in NSCLC patients.
A total of 85 patients with non-small cell lung cancer (NSCLC) who received immune checkpoint inhibitors (ICI) were analyzed for the study. According to the study, the utilization of Lunit SCOPE IO for TLS evaluation yielded clinically significant correlations with patients' overall survival (OS). 25 patients with detected TLS had notably prolonged overall survival compared to 60 patients without TLS. This correlation remained consistent irrespective of PD-L1 expression, a known biomarker for treatment response in NSCLC patients.
"Through rigorous collaboration and cutting-edge technology, our study illuminates a promising path toward better predicting lung cancer treatment outcomes, said Brandon Suh, CEO of Lunit. He added, “The potential of TLS analysis via Lunit SCOPE IO in predicting immunotherapy response represents a meaningful step forward in better understanding cancer biology, and making AI analysis of the TME an actionable part of cancer care.”
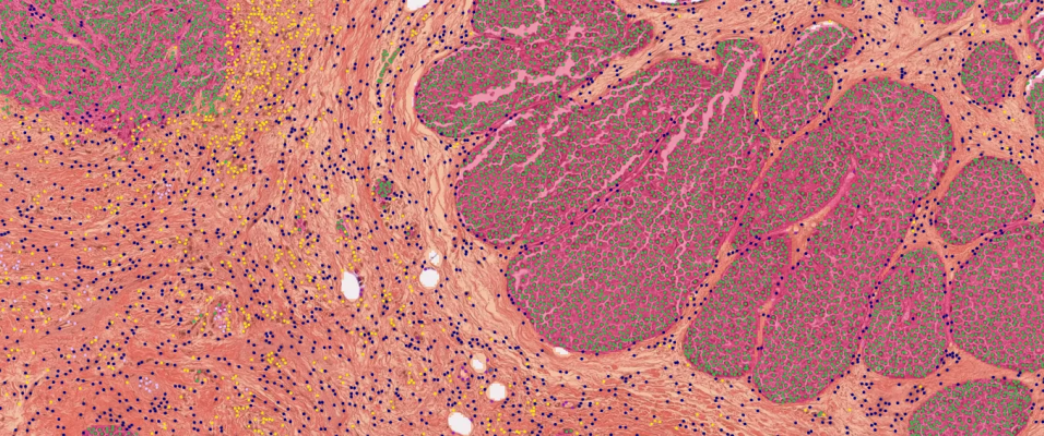
The company, a deep learning-based medical AI company developing AI solutions for precision diagnostics and treatment support, described that its SCOPE IO is an AI-powered H&E analyzer which identifies Tertiary Lymphoid Structures (TLS) within the tumor microenvironment (TME). It was developed with a dataset of thousands of Hematoxylin and Eosin (H&E) stained whole-slide images derived from 18 different types of cancer from patients around the world.
The impact of the findings is clear, as lung cancer is the leading cancer killer in men and women in the United States. Each year, more people die of lung cancer than of colon, breast, and prostate cancers combined, according to the American Lung Association (ALA). The American Cancer Society (ACS) estimates for lung cancer in the US for 2023 are as follows: About 238,340 new cases of lung cancer (117,550 in men and 120,790 in women); and about 127,070 deaths from lung cancer (67,160 in men and 59,910 in women). It adds that most lung cancer statistics include both small cell lung cancer (SCLC) and non-small cell lung cancer (NSCLC), noting that, general, about 10% to 15% of all lung cancers are SCLC, and about 80% to 85% are NSCLC.
More information: www.lunit.io
November 20, 2025 