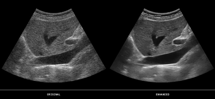
October 7, 2016 — ContextVision’s US PLUSView 2.0 technology for 2-D ultrasound image enhancement has been extended for implementation on the iOS platform. This allows for implementation on handheld mobile phone-based ultrasound devices, addressing a growing market for patient care.
Advanced image processing software is now available on small handheld devices, making ultrasound examinations reachable and affordable to more users outside traditional clinics.
US PLUSView provide features such as:
- DFE (directed focused enhancement) of anatomical features
- Advanced motion compensated temporal filter
- Near and far field filtering
- Optimized contrast
- Superior edge enhancement
- Intelligent speckle reduction
For more information: www.contextvision.com
November 03, 2025 