Sept. 08, 2025 — A new clinical case study, presented by Qure.ai and Hacettepe University, Turkey, at the IASLC World Conference on Lung Cancer 2025 in Barcelona, shows that Artificial Intelligence (AI) can detect potentially malignant pulmonary nodules on routine chest X-rays (CXRs), even when the imaging was ordered for unrelated, non-respiratory conditions.
This adds to the growing body of evidence that AI can act as a disruptor in early lung cancer detection strategies. It can provide an early warning system in countries without formal lung cancer screening programs or complement CT-based screening programs by going beyond smoker/ex-smoker cohorts.
By expanding and improving the number of early-detected lung cancer patients, survival rates will increase through early surgical or pharmaceutical interventions.
“By finding high-risk nodules earlier and diagnose lung cancer at early stages, AI not only improves, but also accelerates diagnosis and treatment,” said Dr. Deniz Koksal at Hacettepe University in Ankara, Turkey. “This enables early surgical interventions while reducing the need for more expensive treatments such as targeted therapies and immunotherapies.”
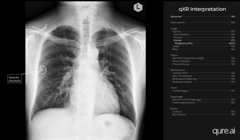
The case series, "Chest X-Ray Analysis with Artificial Intelligence Software Aids in the Early Diagnosis of Lung Cancer," conducted at Hacettepe University in Ankara, Turkey, used data from the CREATE study — a coordinated, five-country research initiative. The three highlighted cases showed how AI-flagged suspicious nodules in patients with no prior suspicion of lung cancer. They had entered the chest X-ray imaging pathway via the emergency room with fever; as a routine radiology CXR prior to treatment for ulcerative colitis; and CXR as part of a routine smoking cessation program. The AI-powered finding enabled timely referral for CT imaging confirmation and biopsy, confirming early-stage lung cancer in all cases. Each patient underwent curative surgical intervention with favourable outcomes.
“This new evidence presented at the World Conference of Lung Cancer has the potential to position every chest X-ray as a chance to save a life,” states Prashant Warier, Founder and CEO of Qure.ai. “AI can help to expand the early lung cancer detection funnel by identifying high-risk lung nodules that would otherwise go unnoticed until it’s too late.”
Key case study insights:
- Expanding the diagnostic funnel — AI-driven detection on non-screening X-rays identifies patients who would otherwise fall outside current screening criteria such as age or smoking history.
- Global market potential — In countries lacking structured lung cancer screening programs, AI-enhanced X-rays could create large, untapped patient populations eligible for therapeutic intervention.
- Supporting precision medicine — Earlier identification of malignant nodules provides more opportunities for genomic testing and timely initiation of advanced therapies.
- Health system alignment — Acting as a safety net in high-volume or resource-limited settings, AI helps reduce diagnostic delays — aligning with payer and public health goals.
To learn more, go to www.qure.ai.
December 24, 2025 