Aug. 7, 2025 — Carebot, a technology company specializing in the development of artificial intelligence for X-ray image analysis, is developing a next-generation AI assistant for musculoskeletal (MSK) X-rays. By integrating large language models (LLMs) into their solution, the company aims to significantly speed up and streamline fracture reporting. The new tool will automatically generate localization-aware report drafts and deliver them directly into the Hospital Information System (HIS), where radiologists can simply review and sign—no prompts, no window switching, no typing from scratch.
Working on smarter language in medical AI, Large language models (LLMs) are a new generation of AI systems capable of understanding and generating natural language with high fluency and contextual accuracy. In medicine, they are increasingly used to convert clinical findings into standardized reports, summarize documentation, and support decision-making.
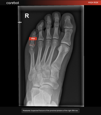
When the system identifies a lesion on a musculoskeletal X-ray, the LLM instantly drafts a one-sentence, localization-aware finding, for example: “Suspected fracture of the proximal phalanx of the right fifth toe.”
The text is pushed directly into the hospital information system (HIS); the radiologist reviews, adjusts if necessary, and signs off—no window-switching, no prompts, no re-typing. “At Carebot, we believe radiologists shouldn’t have to ‘chat’ with AI—they should get structured, clinically relevant output delivered right into their workflow. That’s why we’re now working towards integrating large language models (LLMs) to enhance our musculoskeletal (MSK) AI solution, Carebot AI Bones,” says Daniel Kvak, CEO of Carebot and adds: “We’re not building a chatbot—we’re building a clinically validated tool that delivers localization-aware, natural-language findings into the HIS in real time. Our goal is to make this the first MDR-certified radiology AI solution powered by an LLM.”
This new solution is designed to ease the daily workload of clinicians, reduce reporting time, and ensure consistent, standardized language across findings. A key focus is seamless integration into existing clinical workflows without requiring additional interaction.
The project builds on the already certified Carebot AI CXR solution (MDR Class IIa) for chest X-ray analysis, which already delivers structured outputs directly into HIS. An LLM-powered upgrade for pulmonary findings is also under development, alongside new modules for CT and MRI.
For more information, please visit www.carebot.com.
November 17, 2025 