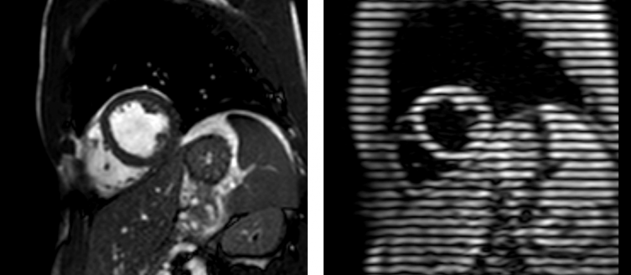
To visualize cardiac magnetic resonance tagging, cross-section of the heart in common imaging technique is seen on the left and tagged myocardium using CSPAMM on the right.


December 2, 2013 — Healthy adults who consumed energy drinks high in caffeine and taurine had significantly increased heart contraction rates one hour later, according to a study presented at the the Radiological Society of North America Annual Meeting (RSNA 2013).
 
"Until now, we haven't known exactly what effect these energy drinks have on the function of the heart," said Jonas Dörner, M.D. and radiology resident of the cardiovascular imaging section, University of Bonn, Germany. "There are concerns about the products' potential adverse side effects on heart function, especially in adolescents and young adults, but there is little or no regulation of energy drink sales."
 
Energy drinks represent a multibillion-dollar industry that is growing every day. While teenagers and young adults have traditionally been the largest consumers, in recent years more people of all demographics have begun consuming energy drinks.
 
A 2013 report from the Substance Abuse and Mental Health Services Administration (SAMHSA) stated that in the United States from 2007 to 2011, the number of emergency department visits related to energy drink consumption nearly doubled, increasing from 10,068 to 20,783. Most of the cases were identified among patients 18 to 25 years old, followed by those 26 to 39 years old.
 
"Usually energy drinks contain taurine and caffeine as their main pharmacological ingredients," said Dörner. "The amount of caffeine is up to three times higher than in other caffeinated beverages like coffee or cola. There are many side effects known to be associated with a high intake of caffeine, including rapid heart rate, palpitations, rise in blood pressure and, in the most severe cases, seizures or sudden death."
 
For the study, which is ongoing, Dörner and colleagues used cardiac magnetic resonance imaging (MRI) to measure the effect of energy drink consumption on heart function in 18 healthy volunteers, including 15 men and three women with a mean age of 27.5 years. Each of the volunteers underwent cardiac MRI before and one hour after consuming an energy drink containing taurine (400 mg/100 ml) and caffeine (32 mg/100 ml).
 
Compared to the baseline images, results of cardiac MRI performed one hour after the study participants consumed the energy drink revealed significantly increased peak strain and peak systolic strain rates in the left ventricle of the heart.
 
"We don't know exactly how or if this greater contractility of the heart impacts daily activities or athletic performance," said Dörner. "We need additional studies to understand this mechanism and to determine how long the effect of the energy drink lasts."
 
The researchers found no significant differences in heart rate, blood pressure or the amount of blood ejected from the left ventricle of the heart between the volunteers' baseline and second MRI exams.
 
"We've shown that energy drink consumption has a short-term impact on cardiac contractility," said Dörner. "Further studies are needed to evaluate the impact of long-term energy drink consumption and the effect of such drinks on individuals with heart disease."
 
Dörner said that while long-term risks to the heart from drinking energy drinks remain unknown, he advises that children, as well as people with known cardiac arrhythmias, should avoid energy drinks, because changes in contractility could trigger arrhythmias. He also cautions that additional study is needed to address risks posed by the consumption of energy drinks in combination with alcohol.
 
The principal investigator of the study was Daniel Thomas, M.D. Other co-authors are Daniel Kuetting, M.D., Claas Naehle, M.D., and Hans Schild, M.D.
 
For more information: www.uni-bonn.de, www.rsna.org

Related Content

News | Artificial Intelligence

Dec. 1, 2025 — Researchers at the University of California, Berkeley and University of California, San Francisco have ...

Time December 10, 2025
arrow
Feature | Uzay Emir and Stephen Sawiak

Healthcare has reached a critical juncture. The World Economic Forum estimates that global medical costs will see double ...

Time December 04, 2025
arrow
News | Advanced Visualization

Nov. 20, 2025 — Avatar Medical and Barco have launched Eonis Vision, marking a new evolution in how medical imaging is ...

Time November 20, 2025
arrow
News | Neuro Imaging

Nov. 19, 2025 — Royal Philips has announced an extended partnership with Cortechs.ai. Together, the companies will ...

Time November 19, 2025
arrow
Feature | Teleradiology | Kyle Hardner

Once viewed as a solution for after-hours coverage, teleradiology is rapidly expanding into a critical part of radiology ...

Time November 06, 2025
arrow
News | Radiology Imaging | UC San Diego Health

Oct. 16, 2025 — A strategic collaboration between UC San Diego Health and GE HealthCare will focus on bringing advanced ...

Time October 20, 2025
arrow
News | Computed Tomography (CT)

Sept. 29, 2025 — Many studies have shown the inverse relationship between bone mineral density (BMD) — the gold standard ...

Time September 30, 2025
arrow
News | Computed Tomography (CT)

Sept. 26, 2025 — At the American Society for Radiation Oncology (ASTRO) 2025 annual meeting in San Francisco, Calif ...

Time September 29, 2025
arrow
News | Computed Tomography (CT)

Aug. 26, 2025— Esaote North America, Inc., a provider of dedicated MRI, Ultrasound, and Healthcare IT solutions, has ...

Time August 27, 2025
arrow
News | RSNA 2025

Aug. 13, 2025 — Registration is now open for the RSNA 111th Scientific Assembly and Annual Meeting, the world’s leading ...

Time August 13, 2025
arrow
Subscribe Now