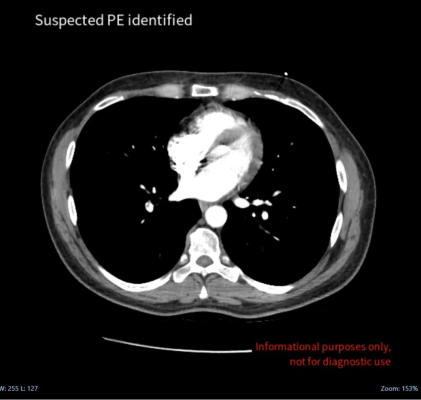
February 22, 2023 — Medical imaging AI specialist Avicenna.AI announced the launch of CINA-iPE, a CE-marked AI tool that analyzes images from chest CT scans for the presence of incidental pulmonary embolism. CINA-iPE is the first tool in CINA Incidental, a new suite of medical imaging solutions from Avicenna.AI that detect unsuspected pathologies on CT scans.
Avicenna.AI will demonstrate CINA-iPE for the first time at the European Congress of Radiology, March 1 – 5, 2023.
Incidental pulmonary embolism is a frequent finding on routine CT scans of the chest, but only 25% of incidental emboli are reported at the initial interpretation. Delayed and missed findings are some of the most serious problems in diagnostic imaging, and incidental pulmonary embolism is a significant cause of mortality in the cancer patient population.
CINA Incidental sits alongside the company’s existing suite, CINA ER, which includes a range of FDA-cleared and CE-Marked tools for neurovascular and thoraco-abdominal emergencies. All of Avicenna.AI’s AI tools are seamlessly integrated within clinical workflow, automatically triggering and reporting algorithm results through the systems already used by radiologists.
“If pathologies are visible on a CT scan, the technology now exists to detect them – helping clinicians reduce time-to-treatment and save lives,” said Cyril Di Grandi, co-founder, and CEO of Avicenna.AI. “Our CINA Incidental suite helps healthcare professionals detect incidental findings in patients receiving imaging for entirely different health conditions, improving patient care and outcomes. The launch of CINA-iPE is the first step in a new direction for Avicenna.AI. Pulmonary embolism is a dangerous, life-threatening condition, and with CINA-iPE we hope to increase the number of patients identified with incidental PE and help improve their outcomes.”
Avicenna.AI provides healthcare AI solutions that use deep learning to identify, detect and quantify life-threatening pathologies from CT medical images. Using a combination of deep learning and machine learning technologies, the company’s solutions automatically detect and prioritize emergency cases within seconds, and assess them for severity, before seamlessly alerting radiologists.
ECR 2023 delegates can find out more at the Avicenna.AI booth (AI-25).
For more information: www.avicenna.ai
November 20, 2025 