If you enjoy this content, please share it with a colleague
Volcano Corp.
RELATED CONTENT
The purchase will enable Philips to further expand its advanced imaging capabilities of its angiography suite. Volcano is a leader in intravascular ultrasound (IVUS) and fractional flow reserve (FFR) catheter measurements used in the interventional cardiology cath lab. The additional technology will enhance Philips' angiography imaging system suite offerings.
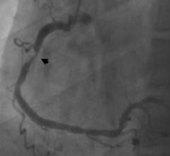
Coronary angiography is unable to accurately predict the severity of vessel narrowing, suggesting fractional flow reserve (FFR) functional tests should be added to help determine if a patient needs revascularization. This was according to research presented from the IRIS FFR-DEFER trial at the American College of Cardiology's (ACC) 61st Annual Scientific Session this week in Chicago.
January 21, 2011 – Intravascular ultrasound (IVUS) enabled physicians to more accurately assess the risk of individual blockages than the use of the current standard of angiographic imaging alone, according to a new study.
May 21, 2010 – A second company is hoping to gain U.S. Food and Drug Administration (FDA) clearance for an optical coherence tomography (OCT) intravascular imaging system. Volcano Corp. said its second generation OCT system is pending FDA investigational device exemption (IDE) approval so it can start its VOILA clinical trial in the United States and South America.
December 30, 2008 - Volcano Corp. will acquire Axsun Technologies Inc., a developer and manufacturer of lasers and optical engines used in medical Optical Coherence Tomography (OCT) imaging systems and advanced photonic components, as part of Volcano’s strategy to establish its position in invasive imaging.
December 23, 2008 - Volcano Corp., a manufacturer of products for the diagnosis and treatment of coronary and peripheral artery disease, said today that it has entered into a definitive agreement to acquire Axsun Technologies Inc., a privately-held company that is a developer and manufacturer of lasers and optical engines used in medical optical coherence tomography (OCT) imaging systems and advan
May 8, 2008 – The first human procedure using the Volcano OCT imaging catheter, which uses optical coherence tomography (OCT) designed to enhance the diagnosis and treatment of coronary and peripheral vascular disease, was performed by Patrick Serruys, M.D., at the Thoraxcenter, in Rotterdam, Netherlands.
February 7, 2008 - Volcano Corp. said the FDA cleared the s5-Revo and s5-FFR (fractional flow reserve) options, enabling ...
Numerous clinical data and physician-led presentations during the TCT meeting in October addressed the important role ...
December 17, 2014 