If you enjoy this content, please share it with a colleague
RELATED CONTENT
June 27, 2024 — The countdown has begun for the Society of Cardiovascular Computed Tomography (SCCT) 19th Annual ...
July 8, 2022 — The Society of Cardiovascular Computed Tomography (SCCT) has released a new expert consensus document on ...
Todd Villines, M.D., FACC, FAHA, MSCCT, said photon counting CT detectors were a key new technology discussed at ...
Todd Villines, M.D., FACC, FAHA, MSCCT, explains how artificial intelligence (AI) might be used in the near future to ...
Todd Villines, M.D., FACC, FAHA, MSCCT, explains some of more influential cardiac CT clinical papers from the past year ...
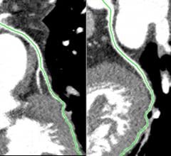
Todd Villines, M.D., FACC, FAHA, MSCCT, explains how coronary plaque assessment will become a new risk assessment tool ...
A discussion with Patricia Dickson, LRT(CT), director of imaging and outpatient services, Capital Cardiology Associates ...
The Society of Cardiovascular Computed Tomography (SCCT) annual meeting offers an in-depth review of all aspects of ...
Results from the PROMISE clinical trial confirmed what many cardiologists and radiologists have long suspected to be true: Coronary computed tomographic angiography (coronary CTA) is extraordinarily effective in accurately diagnosing patients with low to moderate chest pain.
July 8, 2014 — Humana Inc. announced earlier this year an expanded coverage policy for cardiac CT (computed tomography). Many of the new Humana indications have long been advocated for by the Society of Cardiovascular Computed Tomography (SCCT) and described in the model local coverage determination policy (LCD) developed by the organization.
June 27, 2024 