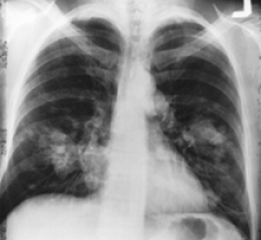
August 11, 2011 -- The New England Journal of Medicine's recent publication of the landmark National Lung Screening Trial (NLST), along with two congressional initiatives and an industry report, herald a much brighter future for lung cancer patients.