November 20, 2008 - Nucletron, a knowledge-based leader in radiation oncology, has received 510(k) clearance from the FDA on Oncentra RT Viewer, its latest innovation in the Oncentra family of treatment planning solutions.
November 20, 2008 - Seno Medical Instruments has signed a licensing agreement in which its opto-acoustic technology will allow VisualSonics to offer cancer researchers a more effective way to look at the organs of small animals for better tracking of experimental cancer treatments.
November 20, 2008 - FiatLux Imaging and Philips FIMI plan to demonstrate at RSNA 2008 the benefits of 3D imaging at the point-of-care using FiatLux Visualize on the Philips CliniScape mobile clinical assistant (MCA).
Radiology departments have many different needs and face a wide variety of challenges that can impact their departments ...
November 20, 2008 - Patient Pamela Louderback was experiencing dizzy spells for months and arrived at St. Elizabeth ...
Mindray's DC-3 color ultrasound imaging system is equipped with extensive applications in abdominal, OB/GYN, endovaginal ...
November 20, 2008 - FiatLux Imaging and Philips FIMI plan to demonstrate at RSNA 2008 the benefits of 3D imaging at the ...
Despite decades of progress in breast imaging, one challenge continues to test even the most skilled radiologists ...
Naviscan Inc. said the FDA has granted 510(k) clearance for its biopsy-guidance feature designed exclusively for use ...
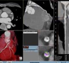
November 20, 2008 - TeraRecon Inc. released new innovations in the cardiovascular and vascular clinical applications for ...
November 19, 2008 - IntraOp Medical Corp. announced its second German order for the Mobetron, which delivers intraoperative electron-beam radiation therapy (IOERT) to cancer patients. The University Hospital Giessen and Marburg GmbH (Marburg), located in Marburg, Germany will be the second Mobetron installation in Germany. The first is the Strahleninstitut in Cologne.
Bayer Radiology’s Barbara Ruhland and Thom Kinst discuss how radiology departments can address the many different ...
November 18, 2008 — Carestream Health Inc. and National Digital Medical Archive Inc. (NDMA) are collaborating on product integration initiatives designed to support the expansion of NDMA’s national imaging network and improve customer access to its analytics and data management services.
November 19, 2008 - Image Medical Corporation, parent of eRAD Inc. said that Robert S. Pryor has been appointed to Image Medical’s Board of Directors.
November 18, 2008 - Medicsight PLC has submitted for a 510(k) Premarket Notification to the FDA for clearance to market its ColonCAD image analysis software throughout the U.S.
eHealth Saskatchewan plays a vital role in providing IT services to patients, health care providers, and partners such ...
November 19, 2008 - Merge Healthcare today released its MergeCOM-3 Version 3.9, which adds the latest DICOM standard supplements to its DICOM toolkit.
With the full integration of GE Healthcare's (GE) Innova system with Volcano's s5i IVUS system, there is no need to roll ...
GE Healthcare's Innova 4100IQ is a large-format digital flat-panel X-ray system for angiographic imaging that incorporates GE’s exclusive Innova single piece, non-tiled digital detector (41cm-by-41 cm) to provide high-resolution imaging across the full range of vascular and interventional applications.
November 19, 2008 - U.S. Reps. John Dingell (D-MI), chairman of the Committee on Energy and Commerce, and Bart Stupak (D ...
November 18, 2008 – The House Energy and Commerce Committee launched an investigation yesterday into allegations by at least eight FDA scientists that agency managers coerced those in the medical device division into approving products despite serious safety and effectiveness concerns.
November 18, 2008 - Dilon Technologies Inc. said today that they have formed an alliance with Terason Ultrasound to offer an expanded imaging capability when molecular breast imaging and ultrasound may be required.
November 18, 2008 - Riverain Medical said its OnGuard Chest X-ray CAD system and the SoftView Enhanced Chest Imaging technology are commercially available in the European Union and Canada after being awarded CE marks and Canadian device licenses.
November 18, 2008 - AMICAS Inc. will unveil its next generation PACS, Version 6.0, at the 2008 Radiological Society of North America (RSNA) annual meeting from November 30 to December 5, 2008, in Chicago, IL. AMICAS PACS Version 6.0 introduces intrinsic 3D, a mammography workflow, advanced personalization and hanging protocols, and patient-centric reading to the radiology marketplace.
November 20, 2008 