April 14, 2010 - One of the biggest challenges in radiation therapy is delivering the dose without damaging surrounding healthy tissue. This is particularly difficult with tumors that move due to patient respiration. A new motion management system is designed to monitor and adjust for tumor motion during standard treatment and respiratory gating treatment.

April 14, 2010 - There will be greater personal interaction, exchange, and networking among attendees and exhibitors, at the Society for Imaging Informatics in Medicine's (SIIM) 2010 Annual Meeting, June 3-6 in Minneapolis.

SIIM this year will debut two new additions to the integrated learning program: "Vendor tie-in" sessions and the Shared learning community.


April 14, 2010 - The Agency for Healthcare Research and Quality (AHRQ) has awarded the Society of Nuclear Medicine (SNM) a $48,000 grant to hold a conference to develop research on the comparative effectiveness of positron emission tomography (PET) and other molecular imaging techniques.


April 14, 2010 - Researchers found a new amyloid imaging agent for positron emission tomography (PET) to be efficacious in assigning patients with clinically probable Alzheimer's disease (AD) or amnestic mild cognitive impairment (MCI).

April 9, 2010 - As breast magnetic resonance imaging (MRI) becomes increasingly important as a method for screening women who are at high risk for developing breast cancer, the American College of Radiology (ACR) is addressing the need for regulating the technique.

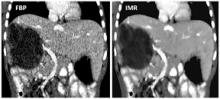
April 9, 2010 - The U.S. Food and Drug Administration (FDA) will no longer allow a third party review process on new radiotherapy equipment.
The announcement came in a letter the FDA sent to 93 makers of radiation treatment devices, urging them to attend a workshop to address concerns about patient exposure to excess radiation from medical treatments and procedures.

April 8, 2010 - Lung tumors have been among the most challenging radiation therapy targets because the patient's breathing causes tumors to move.

The Kearney Breast Center at Southwest Washington Medical Center in Vancouver, Wash., has one mission: to provide breast cancer screening, diagnosis and treatment with state-of-the-art care in a compassionate environment.

April 7, 2010 - The lack of radiation therapy treatment African-American women receive is not responsible for the poorer survival noted among African-American patients.


April 7, 2010 - A dual-modality tomographic (DMT) breast scanner, developed by researchers at the University of Virginia Health System (UVA), in a pilot study pinpointed to a much finer degree than mammography, ultrasound, MRI and even a needle biopsy, the location of breast masses and more accurately distinguished between cancerous and harmless lesions.

Subscribe Now