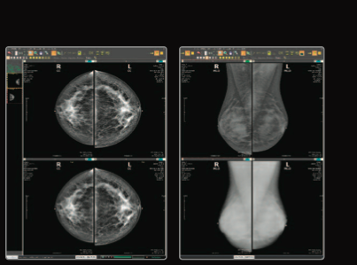
May 14, 2012 — Viztek announced the availability of its integrated mammography suite, Opal-Mammo. The women’s health solution features a multi-modality mammography viewer that offers streamlined management of high-resolution images.
The picture archiving and communications system (PACS) can be easily integrated with most practices’ electronic medical records (EMR) solution for a complete patient management platform. The system is built on an easy-to-use platform, with intuitive controls that require minimal training to operate. Included Web-based dictation and voice recognition allow physicians and staff to instantly create reports from any Web-enabled location.
The Opal-Mammo solution is integrated with a tracking software component that reduces the chances for any oversight, and allows the practice to establish rules for patient follow-up. Currently, in clinical settings where the mammography viewer and the tracking system are not combined, a radiologist will generate a report and then a different individual will review a batch of reports and manually manage the tracking process of denoting status and next steps. With Opal-Mammo, the radiologist's report seamlessly ties into the tracking system's follow-up protocols, with persistent reminders in place to ensure timely continued care.
The suite is available as a site license, allowing practices to expand to other locations without additional fees. Competitive solutions often require the purchase of new licenses for extra users or clinics. Opal-Mammo is also Web-based, with all tools available on nearly any Internet-connected device.
"Opal-Mammo is a real breakthrough for women's health clinics and other locations that need a high-performing and cost-effective mammography solution," said Steve Deaton, vice president of sales for Viztek. "It's the first solution that combines a Web-based mammography viewer with linked tracking software. With Opal-Mammo, practices can ensure that patients receive the right care and follow-up based upon their scan diagnosis and other factors. The intelligent software establishes certain actions throughout the patient cycle. For example, it will progress a patient through the 'follow-up' stage once they have completed a biopsy. It offers efficiency gains for the practice, allowing them to better serve more patients every day."
Opal-Mammo features the company’s turnaround time (TAT) management feature, a custom color-coded dashboard and review time parameters to manage priority levels for patients. The solution is also fully compliant with the Mammography Quality Standards Act (MQSA) standards.
For more information: www.viztek.net
July 30, 2025 