February 17, 2015 — UT Southwestern Medical Center is leading a Texas consortium of researchers to establish the country’s first National Center for Heavy Ion Radiation Therapy that could provide clinical care and research using heavy particles for innovative new cancer treatments.
The National Cancer Institute (NCI) of the National Institutes of Health awarded UT Southwestern a $1 million planning grant to develop research proposals for the center.
Hak Choy, M.D., chair and professor of radiation oncology at UT Southwestern, is principal investigator for the Texas award.
“Heavy ion radiation therapy represents the next quantum leap forward in cancer care. It is not available in the United States, and our location would be the first of its kind in the country,” said Choy.
“The efficacy of heavy ion radiation therapy for certain cancers has already been established by foreign institutions, which have conducted clinical trials and found profound increases in overall disease-free survival. However, this therapy needs a more thorough and rigorous scientific approach to uncover its full potential. Additional clinical trials, improvements in accelerator technology, and improvements in understanding the underlying biology are all still critically needed,” said Choy.
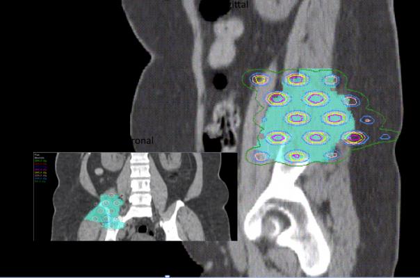
In the United States, more than 50 percent of cancer patients are currently treated using energetic photons, electrons, or protons.
“Heavy ion radiation, on the other hand, delivers therapy that is both more potent and more precise than conventional as well as proton therapy,” Choy said. “It offers treatment to normally radioresistant tumors as well as improved dose conformation with even better sparing of normal tissue structures close to the target. This is important when treating areas that are close to sensitive structures such as the spine and brain, where we want to minimize exposure as much as possible while achieving maximal impact to the tumor.”
Building costs for the National Center for Heavy Ion Radiation Therapy, targeted for completion in 2021, are estimated at $200 million to $250 million, and would need a combination of federal, state, and private funding for construction and ongoing research.
For more information: www.utsouthwestern.edu
December 11, 2025 