October 7, 2016 — UCHealth (Colorado) has expanded their use of Riverain’s ClearRead Bone Suppression and ClearRead Confirm software to all five of their flagship hospitals. The expansion will ensure patients across the entire network benefit from the same tools designed to aid in more effective detection of lung disease, including lung cancer. Utilization of the ClearRead tools across UCHealth ensures patients and clinicians benefit from the technology independent of the imaging location within the network.
“The ClearRead technology enables us to detect lung disease and critical care devices such as tubes and lines more quickly and efficiently,” said Peter Sachs, M.D., associate professor and chief of cardiothoracic imaging at the University of Colorado Hospital. “This results in more accurate and earlier diagnoses, ensuring the best possible outcomes for our patients.”
UCHealth is a nationally recognized system of five hospitals and more than 100 clinics including University of Colorado Hospital, Poudre Valley Hospital, Medical Center of the Rockies, Memorial Hospital Central and Memorial Hospital North.
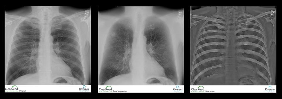
ClearRead Bone Suppression forms a soft tissue image by subtracting the ribs and clavicles from the standard chest X-ray, allowing radiologists to more effectively detect lung disease. Powered by cutting-edge machine learning, it is the only software product to perform robust, pixel level bone suppression throughout the entire body, according to Riverain.
The ClearRead Confirm optimizes the visual quality of chest X-rays, including improving the conspicuity of lines and tubes on portable images, allowing radiologists to read up to 19 percent faster.
For more information: www.riveraintech.com
February 10, 2026 