TomoTherapy reported that the FDA has granted 510(k) clearance for its radiation therapy technology, TomoDirect, designed to complement helical tomotherapy and faster treatment planning.
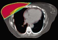
TomoDirect was developed as a complement to helical TomoTherapy, with both modes utilizing the same binary multi-leaf collimator and CT-style gantry technology, and sharing a simple, consistent treatment planning and delivery process. The choice of which modality to use for a given case will depend on the nature of the tumor volume and surrounding organs at risk. TomoDirect allows clinicians to choose several discrete angles as well as the optimal modulation level required for delivery. It is expected to provide significant time savings in both the planning and delivery phases for several clinical scenarios, including whole breast irradiation and palliative treatments. In addition to the added capabilities offered by TomoDirect, the Hi·Art system’s treatment modes are being expanded to include 3D conformal delivery, thereby providing a comprehensive range of options for all clinical cases.
December 11, 2025 