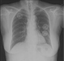
Created as a CAD solution for chest CR/DR, the IQQA-Chest Enterprise gives users a set of real-time interactive tools to support radiologists in their identification, confirmation and quantification of lung nodules as small as 5mm in diameter.
According to the company, the solution offers low maintenance and speedy installation, providing the option of floating licenses across the PACS network on review stations.
April 2008
June 06, 2023 