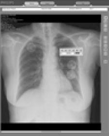
Philips' CAD chest system, the xLNA Enterprise, reportedly helps turn a digital X-ray exam into a potential lifesaver. The xLNA Enterprise supports physicians in the visualization, identification, evaluation and reporting of pulmonary lesions/nodules in digital radiographic chest images.
The solution is a new generation of CAD software, aiming to provide outstanding performance through a real-time/interactive aid of lesion-specific analysis. In addition, Philips xLNA can be integrated into virtually any PACS and fits perfectly into the digital workflow, even for images from other vendor's modalities.
June 06, 2023 