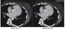
September 28, 2010 – Three new customers have joined a growing list of hospitals, imaging centers and clinics that use the Clarity CT solution to enable material reductions in the medical radiation exposed to patients. They are: Watson Clinic of Lakeland, Fla.; Zilkha Radiology of East Islip, N.Y., and Inova Alexandria Hospital of Alexandria, Va. Each of these facilities licensed Clarity CT to reduce the effective dose on CT exams across a variety of different makes and models of CT scanners.
Initiating the sale at Zilkha Radiology was Merry X-Ray Corp., and at Inova Alexandria, X-Ray Vision. Both Merry X-Ray and X-Ray Vision are distribution partners for Sapheneia, the provider of Clarity CT.
For more information: www.claritysolutions.org
December 10, 2025 