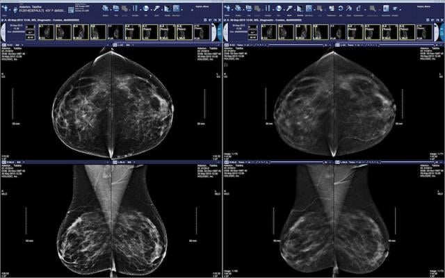
October 14, 2014 — McKesson Radiology Mammography Plus version 2.0 offers users unrestricted access to multimodality breast imaging with all the advantages of a robust picture archiving and communications system (PACS).
McKesson Radiology Mammography Plus introduces innovative, user-inspired workflows for digital breast tomosynthesis, breast density and BI-RADS (Breast Imaging-Reporting and Data System) assessment while leveraging the high performance of McKesson Radiology PACS with 64-bit technology to offer advanced breast imaging workflow with the proven efficiency and individual customization inherent in McKesson PACS.
For more information: www.mckesson.com/connectedenterprise
February 18, 2026 