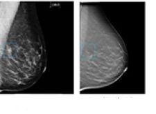
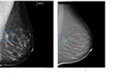
Hologic's Selenia Dimensions includes Selenia Breast tomosynthesis that may alleviate the challenges created by overlapping breast tissue in a traditional mammogram by presenting a slice-by-slice view of the breast.
With Selenia Dimensions, a series of images are generated and digitally reconstructed. This creates high-resolution, cross sectional 3D images that can be viewed and manipulated on a workstation.
Caution: Tomosynthesis is limited by U.S. law to investigational use.
February 17, 2026 