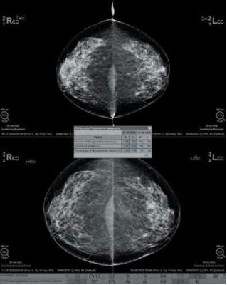
Until recently, consistent assessment of breast composition was hampered by widely differing technical factors and the subjectiveness of the reviewer. The Hologic Quantra volumetric assessment tool is a breakthrough technology that estimates volumes in the breast and calculates the volumetric fraction of fibroglandular tissue. The Quantra tool uses details of the X-ray imaging chain to quantify fibroglandular tissue in the breast. Quantra software aggregates volumetric measurements from each view in a study into a simple, concise assessment for each breast.
For more information: www.hologic.com
November 29, 2025 