Technology | November 04, 2008

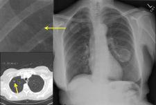
IQQA-Chest Enterprise offers a new generation enterprise CAD (computer-aided detection) solution for chest DR/CR. It provides a comprehensive set of real-time interactive tools to support physicians in the identification, confirmation and quantification of lung nodules.

One recent prospective study (van Beek et. al. Academic Radiology 2008; 15:571–575) showed a sensitivity increase of nodule detection from 63.8 percent without IQQA-Chest to 92.7 percent with IQQA-Chest assistance.

IQQA-Chest Enterprise offers the advantage of quick installation and easy maintenance in hospital’s existing PACS environment without code level or API integration. The option of floating licenses for IQQA-Chest Enterprise is also available.


Subscribe Now