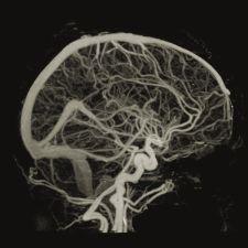
Toshiba will introduce its advanced software package, Sure Subtraction, for its Aquilion CT line, reportedly created to reduce CT examination time for patients exhibiting symptoms of neurological disorders by automating and streamlining bone subtraction.
The application is exclusive to Toshiba and is an option for its 8-, 16-, 32- and 64-slice CT systems. Given the software’s ability to detect and successfully subtract bone from images, the system offers multiple clinical applications, including cerebral aneurysms, ICA, basilar artery, cases with stenosis or occlusion, calcification, hypervascular tumors and scanning from neck to head.
February 09, 2026 