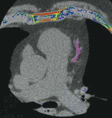
Barco has received 510(k) premarket clearance from the FDA for CARDIAMETRIX, a suite for structural and functional analysis of contrast-enhanced cardiac studies. It is available with the company’s software suite for advanced visualization and analysis VOXAR 3D.
The VOXAR 3D CARDIAMETRIX suite has many features including integrated clinical applications for coronary artery vessel analysis, calcium scoring, 4-D cardiac analysis and left ventricular functional analysis. The suite assesses multiphase studies using up to six phases to present 2-D, 3-D and 4-D images of the heart.


Subscribe Now