Schoepf said iterative reconstruction substantially reduces the artifacts that arise from coronary calcifications and metallic stent struts that are present in filtered back projection.
Over the past few years, iterative reconstruction has emerged as an alternative to filtered back projection with its ability to improve the image quality of computed tomography (CT) images. Although the clinical use of iterative reconstruction techniques in CT is rather new, U. Joseph Schoepf, M.D., professor of radiology, medicine and pediatrics, and director of the division of cardiovascular imaging at the Medical University of South Carolina in Charleston, said the technology itself has been around almost as long as CT imaging. “When the first CT scanner was conceived by Sir Godfrey Hounsfield — the inventor of CT — and the first system was actually put together by EMI, iterative reconstruction was the proposed reconstruction method for computed tomography,” he explained.
Unfortunately, the technique was unable to gain widespread use in the clinical setting because of its slow processing time. Iterative reconstruction involves a complex process where software builds an image based on projection data generated by CT, and then revises it with reiterations to enhance image quality. Because computers in the 1970s — when CT scanners were created — were limited in their power, they could not withstand the demands of iterative reconstruction in the clinical setting. The technique was thus primarily used in nuclear imaging where simpler processing allowed for quicker generation of images. “Iterative reconstruction could be applied to more simple processing, but in order to apply it to much richer projection data that’s generated by computed tomography, the demands in terms of computer power were just too high for it to become a clinical reality,” Schoepf said.
As iterative reconstruction algorithms were abandoned for CT, filtered back projection — a much faster, simpler, but less accurate data reconstruction method — became the gold standard. “You want an image fast, especially if you’re in an emergency or a trauma situation. So, filtered back projection has been used because it can produce images in a timely fashion and give results pretty much stat, but it makes a lot of assumptions about the data that may or may not be true for the sake of expediency,” Schoepf explained.
Return of the Reconstruction
As computer power has increased over the last few years, however, the possibility of using iterative reconstruction algorithms in clinical CT has re-emerged. Today, all CT vendors offer iterative reconstruction, and most are introducing second generation algorithms.
Iterative reconstruction algorithms can enhance the quality of CT in two ways. The first and the most common way is through iterative improvements that are mainly based in the image domain. This technique takes a CT image that is mostly acquired by filtered back projection and uses iterations to decrease the image noise and improve the quality of the image. Examples of these types of algorithms include ASiR (adaptive statistical iterative reconstruction) by GE Healthcare and IRIS (iterative reconstruction in image space) by Siemens Healthcare.
Schoepf said that image-based techniques have shown to be very competitive in terms of time with filtered back projection, which takes roughly 1-2 minutes. “These iterative reconstruction techniques are capable of performing in high-pressure situations such as in an emergency, trauma, acute chest pain and so on,” he said. “The more image-based an iterative reconstruction algorithm is, the faster it is to reconstruct, and the higher the performance in terms of expediency and speed of reconstruction.”
Going Deeper
While image-based algorithms have reintroduced iterative reconstruction into the clinic, Schoepf predicted that larger benefits would come from the next generation of algorithms, including a technique called model-based reconstruction. “More impressive results can be garnered if you move into the actual raw data space of the projections,” he explained. “If you have your iterative reconstruction algorithm start at a point much earlier in the reconstruction process, then the benefits of the techniques obviously have a chance to come to play in a much stronger fashion because it doesn’t make that many assumptions about the data.” Examples of these types of algorithms include ADMIRE (advanced modeled iterative reconstruction) by Siemens and Veo by GE.
Although these iterations have the power to greatly enhance CT image quality, some of them have not been widely adopted because they are still too slow for the clinical setting. “Those are algorithms that are based much deeper in the raw data space and thus take advantage of the capabilities of iterative reconstruction technique in a much more fundamental fashion, but some of them take much longer to reconstruct,” said Schoepf.
Going forward, with improvement in technology, these more advanced algorithms will get faster and be available for widespread clinical use.
Benefits of Iterative Reconstruction
Physicians are already using image-based iterative reconstruction algorithms in many areas of healthcare because of the technology’s many advantages. The main advantage is the increase in image quality through the reduction of image noise. This has led to a reduction of radiation dose and, consequently, radiation exposure to patients. Schoepf noted that studies have shown that iterative reconstruction allows physicians to acquire the same image quality as filtered back projection with much lower radiation requirements. “The traditional way of reducing imaging noise on a computed tomography image was to increase the radiation dose,” Schoepf said. “If you have image reconstruction means, such as iterative reconstruction, to accomplish that goal, that reduces your radiation requirement.”
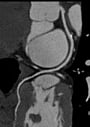
Cardiovascular imaging is one area that has enthusiastically adopted iterative reconstruction because of these benefits. “In the cardiovascular system, filtered back projection causes blooming or beam hardening artifacts of high-density structures such as coronary artery calcifications or coronary artery stents,” said Schoepf, who presented on iterative reconstruction in cardiac imaging at the Society of Cardiovascular Computed Tomography’s (SCCT) 9th annual scientific meeting in July. “It makes it very difficult to gauge the significance of a blockage or narrowing of the heart vessels, and to determine if a stent that was deployed in the heart vessels of the patient is still patent or not.”
Although iterative construction does not completely eliminate the problem, Schoepf said it substantially reduces the artifacts that arise from coronary calcifications and metallic stent struts, so physicians have a better chance of determining which narrowing of the coronary arteries is actually significant and whether stents are still patent.
Adoption of Iterative Reconstruction
Schoepf predicted that in a few years, iterative reconstruction will become the gold standard for CT image processing, noting that most physicians who continue to use filtered back projection in CT are doing so, in large part, because it is the traditional method. However, there are some circumstances preventing iterative reconstruction from spreading as rapidly as one may think based on the benefits of the technology alone. “The installed base of CT scanners that are out there and capable of employing iterative reconstruction techniques is not yet that large,” he explained. “This is a very recent development that has occurred over the past few years, and the majority of the CT scanners that are in the field do not offer the option of using iterative reconstruction.”
As vendors like Siemens and GE continue to expand iterative reconstruction algorithms to make them faster, and as CT scanners in the field reach the end of their useful lives, hospitals and healthcare facilities will seek to purchase equipment that raises the bar for healthcare efficiency and lowers radiation dose.
“The advantages of iterative reconstruction are just too overwhelming to not adopt it,” said Schoepf. “It is my prediction that within a couple of years, iterative reconstruction techniques will become the default method for image reconstruction with computed tomography and replace filtered back projection that has dominated that field for decades.” A transition that he said will be rapid.
“As older CT systems are being swapped out by newer systems, the adaptation of iterative reconstruction techniques will just sky rocket, which, hopefully, should truly be associated with a tangible decrease in radiation exposure to the population,” Schoepf concluded.
February 09, 2026 