Feature | May 28, 2014 | Dave Fornell

New studies at ACC.14 bolster evidence for coronary artery calcium scans as assessment tool

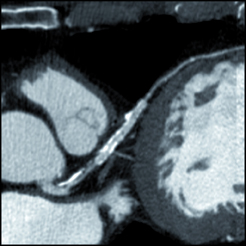
CT calcium scoring

There is mounting data showing CT coronary calcium scoring helps predict the risk level of cardiac patients.


There has been growing clinical evidence to show computed tomography (CT) coronary artery calcium scoring shows a close correlation with a person’s long-term risk for heart disease. This data convinced the American College of Cardiology (ACC) to include CT calcium scoring in its revised guidelines for prevention and cholesterol released last fall. In addition, the ACC highlighted the evidence for CT calcium scoring as a late breaking session at its 63rd Annual Scientific Session in March.

CT calcium scoring is a test that measures the amount and pattern of calcium that has accumulated in a patient’s coronary arteries. The test has been available for decades, but doctors and scientists debate whether and how it should be used to improve patient care. 
 
“We made it into the primary ACC guidelines, which is a nice pat on the back for coronary calcium scoring,” said Matthew Budoff, M.D., FACC, professor of medicine, cardiology, Los Angeles Biomedical Research Institute, David Geffen School of Medicine, and a past-president of the Society of Cardiac CT (SCCT). “I also think it is very promising that cardiac CT has made the late breaking trials for the past several ACC meetings.” 
 
Budoff said the new guidelines, released in November 2013, call for the use of calcium scoring to help stratify risk in patients to help identify patients that might require more aggressive treatments. 
 
Mounting Evidence for Calcium Scoring
The new calcium scoring studies presented at ACC earlier this year, some of which tracked patients for 10 years or more, show calcium scans to be better at predicting long-term heart problems than other available tests, particularly when evaluating low-risk patients.
 
“The studies suggest that we may have been underestimating the value of calcium scoring for detecting and managing patients with known or suspected coronary disease,” said Kim Allan Williams Sr., M.D., FACC, vice president of the ACC and chief of cardiology at Rush University Medical Center in Chicago.
 
Coronary calcium indicates the extent to which plaque has accumulated and hardened in the heart’s main arteries and is an early sign of coronary heart disease, the number one cause of death for both men and women in the United States. Although the calcium itself is not dangerous, it contributes to the hardening of the arteries and its presence and pattern of accumulation reflects other conditions, such as narrowing of the arteries or an increased risk of dangerous blood clots, which can lead to heart attacks and impaired heart function.
 
The ACC 2014 late-breaking trials included the following:
 
Value as a First-line Test for People With No Cardiac Symptoms
In a study of nearly 1,000 people tracked for an average of seven years, researchers at Houston Methodist Hospital in Texas found coronary calcium scores were significantly better at predicting cardiac events than two other heart disease tests, the Framingham 10-year risk calculator and the exercise treadmill test. The advantages of calcium scoring were especially prominent in the approximately 80 percent of participating patients considered to be at low risk for heart disease based on their treadmill test results. Lead study author Su Min Chang, M.D., said the results show that calcium scoring can help catch patients who are on the way to developing heart disease earlier than other available tests.
 
Twenty Years of Data Help Refine Assessments of Low-risk Patients
A 20-year study of nearly 5,600 people offers new insights about the relative mortality risk of patients with no, low, moderate and high calcium scores who are otherwise considered to be at low risk for heart disease. Over an average follow-up period of 10 years, researchers at Los Angeles BioMed at Harbour UCLA Medical Center found that even patients with low calcium scores (1-99) were 50 percent more likely to die than patients with a calcium score of zero. Moderate scores (100-399) were associated with an 80 percent greater likelihood of dying and high scores (above 400) were associated with a three times greater risk of dying as compared to patients with zero calcium. Lead study authors Rine Nakanishi, M.D., Ph.D., and Budoff said the results bolster the case for calcium scoring as a method to refine assessments of a person’s risk for heart disease and identify those who are most likely to benefit from treatment. 
 
A Powerful Indicator of the Risk of Heart Attack 
A study conducted at Israel’s Lady Davis Carmel Medical Center found coronary calcium scoring to be superior to other CT-based measures of a person’s heart health. Researchers tracked the long-term (eight-year) likelihood of death or heart attack among 620 patients who were referred for CT scanning after experiencing chest pain but who had not been previously diagnosed with coronary artery disease. Comparing three measurements taken during the scans: coronary calcium score, atheroma and luminal stenosis, the researchers found coronary calcium score to be the only independent CT predictor of death or heart attacks long-term after adjusting for clinical risk. Ronen Rubinshtein, M.D., lead study author, said the results suggest coronary calcium is a useful predictor of long-term health outcomes in patients with chest pain because it likely reflects the risk of both plaque accumulation and disease duration and activity, unlike other metrics tested in the study.
 
A Reflection of Overall Heart Health
Calcification in the coronary arteries is a common manifestation of unhealthy vascular aging and serves as a good predictor of poor cardiovascular outcomes. In contrast, a finding of a coronary artery calcium score of zero in a middle age or older adult is a sign of healthy aging and a good predictor of longevity. In a study of 1,850 participants from the Multi-Ethnic Study of Atherosclerosis (MESA), researchers at the Johns Hopkins Ciccarone Center for the Prevention of Heart Disease showed that no single risk factor predicted which individuals would maintain a coronary artery calcium score of zero over a 10-year period. Analyzing demographic and lifestyle risk factors of study participants who had a calcium score of zero at the start of the study, they found that younger participants and those without multiple traditional cardiovascular risk factors were more likely to maintain a score of zero during a second scan taken 10 years later. Lead author Seamus Whelton, M.D., said the study shows that healthy arterial aging appears to be influenced predominantly by the long-term maintenance of a healthy lifestyle rather than any one specific risk factor. 
 
A Long-term Complement to Detecting Heart Disease
A meta-analysis of 17 studies conducted by a research team from Mount Sinai St. Luke’s-Roosevelt Hospital Center in New York found a rough, though not perfect, correlation between coronary calcium scores and the results of a common test used to detect coronary heart disease known as SPECT-MPI, which uses single-photon CT scanning to provide a 3-D image of the heart. The analysis revealed that calcium scores of zero generally are associated with negative SPECT-MPI tests for coronary heart disease, while calcium scores above 400 are generally associated with abnormal SPECT-MPI results. The frequency of ischemia rose with an increasing calcium score. Because the tests reflect different aspects of heart health, the two can be complementary, with coronary calcium scans offering valuable insights about long-term heart disease risk and SPECT-MPI offering a clearer picture of the short-term risk of an adverse cardiac event, said lead study author Chirag Bavishi, M.D., MPH. 
 
 
CT Angiography
The use of coronary CT angiography (CCTA) has been growing rapidly over the past few years because of its noninvasive nature, ease of use and access as more hospitals install 64 or higher slice CT systems, and as evidence of its clinical utility continues to be positive. Budoff said the ACC late-breaking sessions have included CCTA trials for the past several years, highlighting the advances in the technology.
 
“We are getting a lot of scientific recognition for CCTA,” Budoff said. “With CT you get two looks at the coronary arteries to see if there are any obstructions and if the vessels contain plaque.” 
 
He said these anatomical views can be scanned in minutes, instead of sending a patient for an invasive diagnostic angiogram in the cath lab. In addition, he said its predictive value for triaging chest pain patients is excellent. Trials are also underway to expand the utility of CCTA with functional data in the form of perfusion imaging and fractional flow reserve (FFR)-CT, which can measure blood flow through lesions to identify the ischemia culprits. 
 
CTA creates a dataset, which can be manipulated in advanced visualization software to create 3-D images of the cardiac anatomy and 2-D images of on any imaging plane. Budoff said this is increasing being used to plan more complex interventional and hybrid transcatheter procedures, including transcatheter aortic valve replacements (TAVR). He said TAVR guidelines now require CTA scans for procedural planning and periprocedural image guidance. 
 
Dose Reduction
One of the biggest issues preventing expansion of cardiac CT over the past decade has been the significant levels of patient radiation exposure. However, Budoff said new iterative and model-based image reconstruction software and new X-ray tube and detector technology has slashed the radiation dose.
 
“We have seen a 10 fold reduction in radiation in the past five years,” Budoff explained. “We went from cardiac scans using 20 mSv to scans of just 2 mSv. The vendors have really stepped up to the plate to reduce the amount of dose.”
 

Related Content

News | Lung Imaging

March 11, 2026 — Noah Medical has announced the publication of the MATCH 2 study in the international, peer-reviewed ...

Time March 12, 2026
arrow
News | Computed Tomography (CT)

March 5, 2026 — At ECR 2026, Royal Philips introduced Rembra, its next-generation radiology CT system designed for the ...

Time March 09, 2026
arrow
Feature | Artificial Intelligence | Kyle Hardner

Once considered an adjunct brain cancer therapy and a last-resort treatment, noninvasive radiosurgery has evolved ...

Time March 09, 2026
arrow
News | Artificial Intelligence

March 2, 2026 — RadNet, Inc. has acquired Gleamer SAS, a radiology AI company based in Paris, France. Gleamer will be ...

Time March 03, 2026
arrow
News | Ultrasound Imaging

March 2, 2026 — Esaote Group will officially launch the new MyLab E85 and MyLab C30 GTS Edition ultrasound systems at ...

Time March 02, 2026
arrow
News | Remote Viewing Systems

Feb. 26, 2026 — DeepHealth, Inc., a provider of AI-powered health informatics and a wholly owned subsidiary of RadNet ...

Time February 27, 2026
arrow
News | FDA

Feb. 26, 2026 — The U.S. Food and Drug Administration (FDA) has given 510(k) class II clearance of qXR-Detect, the ...

Time February 26, 2026
arrow
News | ARRS

Feb. 11, 2026 —The American Roentgen Ray Society (ARRS) has announced the following radiologists, as well as their ...

Time February 13, 2026
arrow
News | Magnetic Resonance Imaging (MRI)

Feb. 9, 2026 — MRIguidance, a MedTech company developing BoneMRI, a radiation-free bone imaging solution, has appointed ...

Time February 09, 2026
arrow
Feature | Cardiac Imaging | Kyle Hardner

Advances in coronary CT angiography (CCTA) have reached the point where image quality and AI capabilities are creating ...

Time February 06, 2026
arrow
Subscribe Now