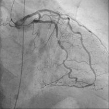
Designed with one 8-by-8-inch floor mounted cardiac C-arm and one 12- by-16-inch ceiling mounted C-arm, the Infinix DP-i/FD2 vascular X-ray system from Toshiba America Medical Systems enables physicians to obtain the high-quality images needed to perform both detailed peripheral vascular work and coronary studies without compromise for more efficient, comprehensive patient care. In addition, the system’s design allows clinicians to perform both coronary and vascular studies on the same table without moving the patient-saving time and increasing overall patient comfort.
The Infinix also offers a dual-PC processing system architecture, which permits background image processing and archiving without interrupting the exam. This powerful processing can be used with either the 8-by 8-inch or the 12-by-16-inch FPD.


Subscribe Now