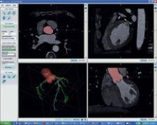
Diagnostic software maker Rcadia Medical Imaging Ltd. recently received a second FDA clearance to market its COR analyzer family of products, which assists in triaging patients for coronary artery disease (CAD).

The new approval includes segmentation of the coronary tree with no human intervention and automatic detection of pathologies in the main coronary arteries. Rcadia’s COR analyzer system uses proprietary image processing algorithms allowing analysis of coronary CTA studies to characterize patients. While improving ED workflow, it can reportedly lead to a more rapid diagnosis, enabling appropriate treatments and avoiding unnecessary delays and invasive tests in patients who do not have coronary artery disease.

December 2007


Subscribe Now