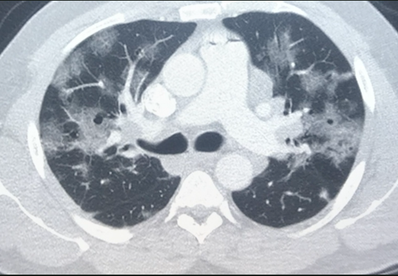
COVID-19 patient CT scan showing numerous ground glass lesions associated with SARS-CoV-2 pneumonia.

John Kim, M.D., chairman, Department of Radiology, THR Presbyterian Plano, Texas, and chief technology officer at Texas Radiology Associates, explains the use of teleradiology during the novel coronavirus (COVID-19) outbreak in the U.S. The radiology group is part of Collaborative Imaging, a radiologist owned teleradiology alliance that enables radiologists to read studies using secure web links and an app.

The rapid spread of coronavirus has increased the value telemedicine solutions to help prevent person-to-person contact and take some clinicians out of the hospitals to work at home or office locations. This includes the use of teleradiology tools to read images and communicate with referring physicians.

Telemedicine allows for the continuity of care within healthcare facilities and patients and allows for safe distance without sacrificing the quality of care. It also saves patients from spreading germs to others, like while on public transportation or in the doctor’s waiting room, and to the healthcare providers who tend to them. Televisits also only last an average of 10 minutes, allowing physicians to assess patients more quickly and easily. 

Watch a video of this interview at https://www.itnonline.com/videos/video-use-teleradiology-during-covid-19-pandemic


Subscribe Now