May 22, 2024 — The U.S. Food and Drug Administration (FDA) has issued a recall of the Hologic Inc. BioZorb marker due to ...
May 22, 2024 — Medtronic has announced new preliminary data from the VERITAS clinical study using its ILLUMISITE ...
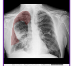
May 22, 2024 — Lunit, a provider of Artificial intelligence (AI)-powered solutions for cancer diagnostics and ...
Radiology departments have many different needs and face a wide variety of challenges that can impact their departments ...
May 22, 2024 — Strategic Radiology has been awarded the Berkley Accident and Health’s Excellence in Health Risk ...
May 22, 2024 — Lunit, a leading provider of AI-powered solutions for cancer diagnostics and therapeutics, recently ...
May 21, 2024 — According to a newly-published study of nearly 5,000 screening mammograms interpreted by an FDA-approved ...
Despite decades of progress in breast imaging, one challenge continues to test even the most skilled radiologists ...
May 21, 2024 — RaySearch Laboratories AB announced that the oncology information system RayCare* 2024A has been ...
May 21, 2024 — IBA, a world leader in particle accelerator technology, announced that it has signed a contract with the ...
May 20, 2024 — Exo (pronounced “echo”), a medical imaging software and devices company, announced the release of Exo ...
Bayer Radiology’s Barbara Ruhland and Thom Kinst discuss how radiology departments can address the many different ...
May 20, 2024 — Associated Medical Professionals of NY (A.M.P.) announced that internationally recognized radiation ...
May 17, 2024 — Registration opens today for the American Society for Radiation Oncology's (ASTRO) 66th Annual Meeting ...
May 17, 2024 — The Cum Laude Award-Winning Online Poster presented during the 124th ARRS Annual Meeting found that the ...
eHealth Saskatchewan plays a vital role in providing IT services to patients, health care providers, and partners such ...
May 16, 2024 — Today marks a significant milestone in cancer care with the introduction of bipartisan federal ...
May 16, 2024 — AGFA HealthCare announced that St. Vincent’s Private Hospital in Dublin, Ireland, has chosen to implement ...
May 16, 2024 — deepc, the globally recognized digital medicine pioneer and market leader behind the leading AI operating ...
Having the most efficient clinical workflows with enhanced diagnostic capabilities is a major goal for clinicians and ...
May 15, 2024 — Heart disease is the leading cause of mortality in the U.S., accounting for one out of every five deaths ...
May 15, 2024 — Transfer learning (TL) models trained on heterogeneous public datasets and fine-tuned using institutional ...
May 15, 2024 — etherFAX has announced the expansion of its partnership with Hyland, a global provider of intelligent ...
May 14, 2024 — Indica Labs, the leading provider of digital pathology solutions, announced today that it received FDA ...
May 22, 2024 