May 10, 2023 — The Society for Imaging Informatics in Medicine (SIIM) Annual Meeting (SIIM23) and InformaticsTECH Expo ...
May 9, 2023 — The U.S. Preventive Services Task Force (Task Force) today posted a draft recommendation statement on ...
May 9, 2023 — Leaders from RadEqual, an organization that fosters networking and mentorship opportunities for leaders in ...
Radiology departments have many different needs and face a wide variety of challenges that can impact their departments ...
May 9, 2023 — William T. Herrington, MD, FACR, was elected president of the American College of Radiology (ACR) during ...
May 9, 2023 — The American College of Radiology (ACR) Economics and Health Policy Department has selected Ezequiel Silva ...
May 8, 2023 — Artificial intelligence and machine learning (AI/ML) technologies are constantly finding new applications ...
Despite decades of progress in breast imaging, one challenge continues to test even the most skilled radiologists ...
May 8, 2023 — Mirion, a leading provider of advanced radiation safety solutions, announced that it has updated the ...
May 8, 2023 — RapidAI, the global leader in using AI to combat life-threatening vascular and neurovascular conditions ...
In addition to women with dense breasts, there are also other women for whom mammographic screening is not really enough ...
Bayer Radiology’s Barbara Ruhland and Thom Kinst discuss how radiology departments can address the many different ...
May 5, 2023 — The American College of Radiology (ACR), Breast Cancer Research Foundation (BCRF) and GE HealthCare ...
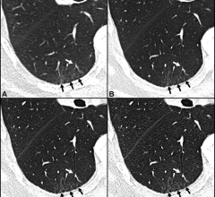
May 5, 2023 — According to an accepted manuscript published in ARRS’ own American Journal of Roentgenology (AJR), a high ...
Be sure to check out the latest digital edition of Imaging Technology News (ITN), featuring the Digital Radiology ...
eHealth Saskatchewan plays a vital role in providing IT services to patients, health care providers, and partners such ...
May 4, 2023 — Philips’ BlueSeal helium-free MR operations magnet has won the 2023 ‘Best New Technology Solution for ...
May 4, 2023 — Fujifilm Healthcare Americas Corporation, a leading provider of enterprise imaging and informatics ...
May 4, 2023 — MedTech Breakthrough, an independent market intelligence organization that recognizes the top companies ...
It has long been said that a national reporting standard is needed to ensure all American women receive at least the ...
At some point, every breast imager has one of those unsettling moments where they discover an advanced tumor and wonder ...
May 4, 2023 — DeepTek.ai, A Pune, India-based radiology artificial intelligence (AI) company, has announced that its AI ...
May 4, 2023 —Royal Philips, a global leader in health technology, announced the launch of Philips Image Guided Therapy ...
Invented in 1896 by Enrico Salvioni, the fluoroscope remains a flagship technology of modern medicine. The live video X ...
May 10, 2023 