May 13, 2025 — In one of the larger studies of its kind, researchers have identified six breast texture patterns that ...
May 15, 2025 — GE HealthCare has launched CleaRecon DL, technology powered by a deep-learning algorithm, to improve the ...
May 14, 2025 — Siemens Healthineers is investing $150 million in new projects to expand production, create jobs and ...
Radiology departments have many different needs and face a wide variety of challenges that can impact their departments ...
May 14, 2025 — A comprehensive new study based on nationwide claims data from more than 11 million patients shows that ...
May 12, 2025 — GE HealthCare recently unveiled Signa Sprint, an FDA 510(k) pending[1] ultra-premium wide bore 1.5T high ...
The issue of sustainability in healthcare has gained increasing focus over the past several years. During a 2022 plenary ...
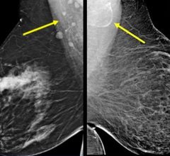
Despite decades of progress in breast imaging, one challenge continues to test even the most skilled radiologists ...
May 6, 2025 — NewVue.ai, a leader in cloud-native radiology workflow orchestration, and MD.ai, a pioneer in AI-enhanced ...
May 5, 2025 — GE HealthCare recently announced that the U.S. Food and Drug Administration (FDA) granted 510(k) clearance ...
May 2, 2025 — GE HealthCare has announced an intended expansion of its radiation oncology portfolio as well as the ...
Bayer Radiology’s Barbara Ruhland and Thom Kinst discuss how radiology departments can address the many different ...
April 30, 2025 – Viz.ai, the leader in AI-powered disease detection and intelligent care coordination, has launched Viz ...
May 01, 2025 — Researchers from the Rajpurkar Lab in the Department of Biomedical Informatics at Harvard Medical School ...
April 29, 2025 — iCAD, a global provider of clinically proven AI-powered cancer detection solutions, has announced a ...
eHealth Saskatchewan plays a vital role in providing IT services to patients, health care providers, and partners such ...
April 24, 2025 — GE HealthCare will feature its latest advancements in diagnostic accuracy and patient-centered breast ...
April 21, 2025 – The American Board of Imaging Informatics (ABII) has announced a new option for candidates to take the ...
April 21, 2025 — On June 20, the American Society of Radiologic Technologists (ASRT) will award Life Member status to ...
April 17, 2025 — Nano-X Imaging LTD has received 510(k) clearance from the U.S. Food and Drug Administration (FDA) for ...
April 16, 2025 — A new Harvey L. Neiman Health Policy Institute study found evidence that a new diagnosis of sarcopenia ...
April, 15, 2025 — Optellum has entered an agreement with Bristol Myers Squibb to leverage AI in early diagnosis and ...
April 15, 2025 — CureMetrix, a provider of AI-driven medical imaging solutions, has announced that its AI-based cmAngio ...
April 16, 2025 — According to a new report, the U.S. Radiotherapy Market is projected to reach $2.49 billion by 2030 ...
May 16, 2025 